Pictures Of Intertrigo Rash

Intertrigo is a common skin condition that occurs in skin folds, often caused by friction, moisture, and heat. One of the most telling signs of intertrigo is the rash that accompanies it, which can vary in appearance but is often red, raw, and itchy. Understanding the characteristics of pictures of intertrigo rash can help in early identification and treatment. This blog post will delve into the causes, symptoms, diagnosis, and treatment options for intertrigo, with a particular focus on recognizing the rash through visual cues.

Understanding Intertrigo

Intertrigo is a skin inflammation that occurs in the folds of the skin, such as the armpits, groin, under the breasts, and between the toes. It is often caused by a combination of factors, including:

  • Friction: Rubbing of skin surfaces against each other.
  • Moisture: Sweat or dampness trapped in skin folds.
  • Heat: Warm environments that exacerbate sweating.
  • Obesity: Excess weight can increase skin folds and moisture.
  • Diabetes: High blood sugar levels can increase the risk of skin infections.

Intertrigo can affect people of all ages but is more common in infants, the elderly, and those who are overweight or have diabetes.

Symptoms of Intertrigo

The primary symptom of intertrigo is a rash that appears in skin folds. The rash can vary in appearance but often includes:

  • Redness and inflammation.
  • Itching and discomfort.
  • Oozing or weeping skin.
  • Raw, tender skin.
  • Foul odor in severe cases.

In some cases, the rash may be accompanied by a secondary bacterial or fungal infection, which can worsen the symptoms and require additional treatment.

Diagnosing Intertrigo

Diagnosing intertrigo typically involves a visual examination of the affected area. A healthcare provider will look for the characteristic rash and may ask about symptoms and medical history. In some cases, a skin scraping or culture may be taken to rule out a secondary infection.

Recognizing pictures of intertrigo rash can be helpful in self-diagnosis, but it is always best to consult a healthcare provider for an accurate diagnosis and appropriate treatment.

Treatment Options for Intertrigo

Treatment for intertrigo focuses on reducing moisture, friction, and heat in the affected area. Common treatment options include:

  • Keeping the affected area dry: Use talcum powder or cornstarch to absorb moisture.
  • Wearing loose-fitting clothing: Avoid tight clothing that can trap moisture and increase friction.
  • Using topical creams or ointments: Over-the-counter or prescription creams can help reduce inflammation and prevent infection.
  • Antifungal or antibiotic medications: If a secondary infection is present, oral or topical medications may be prescribed.
  • Weight loss: For overweight individuals, losing weight can reduce skin folds and moisture.

In severe cases, a healthcare provider may recommend additional treatments, such as corticosteroid creams or oral medications.

Preventing Intertrigo

Preventing intertrigo involves maintaining good hygiene and reducing factors that contribute to the condition. Some preventive measures include:

  • Keeping skin folds dry: Use talcum powder or cornstarch to absorb moisture.
  • Wearing loose-fitting clothing: Avoid tight clothing that can trap moisture and increase friction.
  • Maintaining a healthy weight: Reducing excess weight can decrease skin folds and moisture.
  • Managing diabetes: Keeping blood sugar levels under control can reduce the risk of skin infections.

Regularly inspecting skin folds for signs of irritation or infection can also help in early detection and treatment.

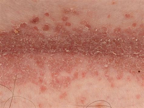
Recognizing Pictures of Intertrigo Rash

Visual recognition of intertrigo rash can be crucial for early identification and treatment. Here are some key features to look for in pictures of intertrigo rash:

  • Redness and inflammation: The affected area will appear red and inflamed.
  • Itching and discomfort: The rash may be itchy and cause discomfort.
  • Oozing or weeping skin: In some cases, the skin may ooze or weep fluid.
  • Raw, tender skin: The skin may appear raw and tender to the touch.
  • Foul odor: In severe cases, the affected area may have a foul odor.

It is important to note that the appearance of the rash can vary depending on the severity and duration of the condition. If you suspect you have intertrigo, consult a healthcare provider for an accurate diagnosis and appropriate treatment.

📌 Note: Intertrigo can be mistaken for other skin conditions, such as eczema or psoriasis. Always consult a healthcare provider for an accurate diagnosis.

Intertrigo Rash

Common Areas Affected by Intertrigo

Intertrigo can occur in various skin folds, but some areas are more commonly affected than others. Here is a table highlighting the common areas and their characteristics:

Area Characteristics
Armpits Frequent sweating and friction from arm movement.
Groin Moisture and friction from walking and physical activity.
Under the breasts Moisture and friction, especially in larger breasts.
Between the toes Moisture and friction from walking and tight shoes.
Abdomen folds Moisture and friction in overweight individuals.

Recognizing the common areas affected by intertrigo can help in early identification and treatment of the condition.

📌 Note: Intertrigo can also occur in other skin folds, such as the neck and behind the ears. Regularly inspecting these areas can help in early detection.

When to Seek Medical Attention

While intertrigo can often be managed with home remedies, there are times when medical attention is necessary. Seek medical help if:

  • The rash is severe or worsening.
  • There is significant pain or discomfort.
  • The rash is accompanied by a fever.
  • There are signs of a secondary infection, such as pus or increased redness.
  • Home remedies are not providing relief.

Early intervention can prevent complications and ensure a quicker recovery.

Intertrigo is a common but manageable skin condition. By understanding the causes, symptoms, and treatment options, you can effectively manage and prevent intertrigo. Recognizing pictures of intertrigo rash can aid in early identification, allowing for prompt treatment and relief from discomfort. Regular skin care and hygiene practices can help prevent intertrigo and maintain overall skin health.

Related Terms:

  • under belly rash with weeping
  • rash under stomach fold pictures
  • raw skin under belly fat
  • rash in fat folds called
  • pictures of intertrigo on skin
  • rash in skin folds pictures
Facebook Twitter WA
Ashley
Ashley
Author
Passionate content creator delivering insightful articles on technology, lifestyle, and more. Dedicated to bringing quality content that matters.
You Might Like