Pinky Finger Sprain

Injuries to the hand and fingers can be quite common, especially among athletes and individuals who engage in manual labor. One such injury is a pinky finger sprain, which can cause significant discomfort and affect daily activities. Understanding the causes, symptoms, and treatment options for a pinky finger sprain is crucial for effective management and recovery.

Understanding Pinky Finger Sprains

A pinky finger sprain occurs when the ligaments that support the joint are stretched or torn. This type of injury is often the result of a sudden twist or impact to the finger. The pinky finger, being the smallest and least protected, is particularly vulnerable to sprains. Common causes include:

  • Sports injuries, especially in contact sports like football or basketball.
  • Falls or accidents that involve landing on an outstretched hand.
  • Repetitive stress or overuse, such as in activities that require gripping or twisting motions.

Symptoms of a Pinky Finger Sprain

Recognizing the symptoms of a pinky finger sprain is the first step toward proper treatment. Common symptoms include:

  • Pain and tenderness in the affected area.
  • Swelling and bruising.
  • Difficulty moving the finger.
  • A feeling of instability or looseness in the joint.

In severe cases, there may be a visible deformity or a popping sound at the time of injury. If you experience any of these symptoms, it is important to seek medical attention for a proper diagnosis.

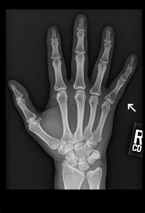
Diagnosing a Pinky Finger Sprain

Diagnosing a pinky finger sprain typically involves a physical examination by a healthcare professional. The doctor will assess the range of motion, stability, and any signs of swelling or bruising. In some cases, imaging tests such as X-rays or MRI scans may be ordered to rule out fractures or other injuries.

During the examination, the doctor may perform specific tests to evaluate the integrity of the ligaments. These tests can help determine the severity of the sprain and guide the treatment plan.

Treatment Options for a Pinky Finger Sprain

The treatment for a pinky finger sprain depends on the severity of the injury. Mild sprains can often be managed with conservative measures, while more severe sprains may require medical intervention.

Conservative Treatment

For mild to moderate pinky finger sprains, conservative treatment options include:

  • Rest: Avoid activities that cause pain or put stress on the finger.
  • Ice: Apply an ice pack to the affected area for 15-20 minutes, several times a day, to reduce swelling.
  • Compression: Use a compression bandage to help control swelling.
  • Elevation: Keep the hand elevated above the level of the heart to reduce swelling.
  • Pain medication: Over-the-counter pain relievers such as ibuprofen or acetaminophen can help manage pain and inflammation.

In some cases, a splint or brace may be recommended to immobilize the finger and promote healing. Physical therapy exercises may also be prescribed to improve range of motion and strength.

Medical Intervention

For severe pinky finger sprains, medical intervention may be necessary. This can include:

  • Corticosteroid injections: To reduce inflammation and pain.
  • Surgery: In rare cases, surgery may be required to repair torn ligaments or stabilize the joint.

Your healthcare provider will determine the best course of treatment based on the severity of the injury and your individual needs.

Preventing Pinky Finger Sprains

While it is not always possible to prevent injuries, there are steps you can take to reduce the risk of a pinky finger sprain. These include:

  • Wearing protective gear during sports or activities that pose a risk of injury.
  • Using proper technique and form during physical activities.
  • Strengthening the muscles and ligaments in the hand and fingers through exercises and stretching.
  • Avoiding repetitive stress or overuse of the fingers.

By taking these precautions, you can help protect your fingers and reduce the likelihood of a pinky finger sprain.

Recovery and Rehabilitation

The recovery process for a pinky finger sprain can vary depending on the severity of the injury. Mild sprains may heal within a few weeks, while more severe sprains can take several months to fully recover. During the recovery period, it is important to follow your healthcare provider's recommendations for rest, rehabilitation, and gradual return to activities.

Physical therapy exercises can play a crucial role in the rehabilitation process. These exercises can help improve range of motion, strength, and flexibility in the affected finger. Your physical therapist may recommend specific exercises tailored to your needs, such as:

  • Gentle stretching exercises to improve flexibility.
  • Strengthening exercises using resistance bands or weights.
  • Coordination and dexterity exercises to improve fine motor skills.

It is important to progress gradually and avoid pushing yourself too hard too soon. Listen to your body and consult with your healthcare provider if you experience any pain or discomfort during rehabilitation.

📝 Note: Always consult with a healthcare professional before starting any new exercise program, especially if you have an injury.

When to Seek Medical Attention

While many pinky finger sprains can be managed with conservative treatment, there are situations where medical attention is necessary. Seek immediate medical care if you experience any of the following:

  • Severe pain or deformity.
  • Inability to move the finger.
  • Signs of infection, such as redness, warmth, or pus.
  • Persistent swelling or bruising that does not improve with rest and ice.

Prompt medical attention can help prevent complications and ensure a faster recovery.

Common Complications

While most pinky finger sprains heal without complications, there are potential risks to be aware of. These can include:

  • Chronic instability: If the ligaments do not heal properly, the finger may remain unstable, leading to recurrent sprains.
  • Arthritis: Repeated injuries or improper healing can increase the risk of developing arthritis in the affected joint.
  • Stiffness: Prolonged immobilization or lack of rehabilitation can result in stiffness and reduced range of motion.

Following your healthcare provider's recommendations for treatment and rehabilitation can help minimize these risks and promote a full recovery.

In some cases, additional support may be needed to manage complications. This can include:

  • Custom orthotics or splints to provide additional support and stability.
  • Injections or medications to manage pain and inflammation.
  • Surgery to repair damaged ligaments or stabilize the joint.

Your healthcare provider will work with you to develop a plan that addresses your specific needs and promotes optimal healing.

In addition to medical treatment, lifestyle modifications can also play a role in managing complications. These can include:

  • Avoiding activities that put stress on the finger.
  • Using assistive devices to perform daily tasks.
  • Maintaining a healthy lifestyle with proper nutrition and exercise.

By taking a proactive approach to your health, you can help manage complications and improve your overall well-being.

In some cases, alternative therapies may be recommended to complement traditional medical treatment. These can include:

  • Acupuncture: To reduce pain and inflammation.
  • Massage therapy: To improve circulation and promote healing.
  • Chiropractic care: To address any underlying musculoskeletal issues.

Your healthcare provider can help determine if alternative therapies are appropriate for your situation and provide recommendations for qualified practitioners.

In some cases, a pinky finger sprain may be part of a larger injury pattern. For example, it may occur in conjunction with a wrist or hand injury. In these situations, it is important to address all aspects of the injury to promote comprehensive healing. Your healthcare provider can help develop a treatment plan that addresses all of your needs and promotes optimal recovery.

In some cases, a pinky finger sprain may be part of a larger injury pattern. For example, it may occur in conjunction with a wrist or hand injury. In these situations, it is important to address all aspects of the injury to promote comprehensive healing. Your healthcare provider can help develop a treatment plan that addresses all of your needs and promotes optimal recovery.

In some cases, a pinky finger sprain may be part of a larger injury pattern. For example, it may occur in conjunction with a wrist or hand injury. In these situations, it is important to address all aspects of the injury to promote comprehensive healing. Your healthcare provider can help develop a treatment plan that addresses all of your needs and promotes optimal recovery.

In some cases, a pinky finger sprain may be part of a larger injury pattern. For example, it may occur in conjunction with a wrist or hand injury. In these situations, it is important to address all aspects of the injury to promote comprehensive healing. Your healthcare provider can help develop a treatment plan that addresses all of your needs and promotes optimal recovery.

In some cases, a pinky finger sprain may be part of a larger injury pattern. For example, it may occur in conjunction with a wrist or hand injury. In these situations, it is important to address all aspects of the injury to promote comprehensive healing. Your healthcare provider can help develop a treatment plan that addresses all of your needs and promotes optimal recovery.

In some cases, a pinky finger sprain may be part of a larger injury pattern. For example, it may occur in conjunction with a wrist or hand injury. In these situations, it is important to address all aspects of the injury to promote comprehensive healing. Your healthcare provider can help develop a treatment plan that addresses all of your needs and promotes optimal recovery.

In some cases, a pinky finger sprain may be part of a larger injury pattern. For example, it may occur in conjunction with a wrist or hand injury. In these situations, it is important to address all aspects of the injury to promote comprehensive healing. Your healthcare provider can help develop a treatment plan that addresses all of your needs and promotes optimal recovery.

In some cases, a pinky finger sprain may be part of a larger injury pattern. For example, it may occur in conjunction with a wrist or hand injury. In these situations, it is important to address all aspects of the injury to promote comprehensive healing. Your healthcare provider can help develop a treatment plan that addresses all of your needs and promotes optimal recovery.

In some cases, a pinky finger sprain may be part of a larger injury pattern. For example, it may occur in conjunction with a wrist or hand injury. In these situations, it is important to address all aspects of the injury to promote comprehensive healing. Your healthcare provider can help develop a treatment plan that addresses all of your needs and promotes optimal recovery.

In some cases, a pinky finger sprain may be part of a larger injury pattern. For example, it may occur in conjunction with a wrist or hand injury. In these situations, it is important to address all aspects of the injury to promote comprehensive healing. Your healthcare provider can help develop a treatment plan that addresses all of your needs and promotes optimal recovery.

In some cases, a pinky finger sprain may be part of a larger injury pattern. For example, it may occur in conjunction with a wrist or hand injury. In these situations, it is important to address all aspects of the injury to promote comprehensive healing. Your healthcare provider can help develop a treatment plan that addresses all of your needs and promotes optimal recovery.

In some cases, a pinky finger sprain may be part of a larger injury pattern. For example, it may occur in conjunction with a wrist or hand injury. In these situations, it is important to address all aspects of the injury to promote comprehensive healing. Your healthcare provider can help develop a treatment plan that addresses all of your needs and promotes optimal recovery.

In some cases, a pinky finger sprain may be part of a larger injury pattern. For example, it may occur in conjunction with a wrist or hand injury. In these situations, it is important to address all aspects of the injury to promote comprehensive healing. Your healthcare provider can help develop a treatment plan that addresses all of your needs and promotes optimal recovery.

In some cases, a pinky finger sprain may be part of a larger injury pattern. For example, it may occur in conjunction with a wrist or hand injury. In these situations, it is important to address all aspects of the injury to promote comprehensive healing. Your healthcare provider can help develop a treatment plan that addresses all of your needs and promotes optimal recovery.

In some cases, a pinky finger sprain may be part of a larger injury pattern. For example, it may occur in conjunction with a wrist or hand injury. In these situations, it is important to address all aspects of the injury to promote comprehensive healing. Your healthcare provider can help develop a treatment plan that addresses all of your needs and promotes optimal recovery.

In some cases, a pinky finger sprain may be part of a larger injury pattern. For example, it may occur in conjunction with a wrist or hand injury. In these situations, it is important to address all aspects of the injury to promote comprehensive healing. Your healthcare provider can help develop a treatment plan that addresses all of your needs and promotes optimal recovery.

In some cases, a pinky finger sprain may be part of a larger injury pattern. For example, it may occur in conjunction with a wrist or hand injury. In these situations, it is important to address all aspects of the injury to promote comprehensive healing. Your healthcare provider can help develop a treatment plan that addresses all of your needs and promotes optimal recovery.

In some cases, a pinky finger sprain may be part of a larger injury pattern. For example, it may occur in conjunction with a wrist or hand injury. In these situations, it is important to address all aspects of the injury to promote comprehensive healing. Your healthcare provider can help develop a treatment plan that addresses all of your needs and promotes optimal recovery.

In some cases, a pinky finger sprain may be part of a larger injury pattern. For example, it may occur in conjunction with a wrist or hand injury. In these situations, it is important to address all aspects of the injury to promote comprehensive healing. Your healthcare provider can help develop a treatment plan that addresses all of your needs and promotes optimal recovery.

In some cases, a pinky finger sprain may be part of a larger injury pattern. For example, it may occur in conjunction with a wrist or hand injury. In these situations, it is important to address all aspects of the injury to promote comprehensive healing. Your healthcare provider can help develop a treatment plan that addresses all of your needs and promotes optimal recovery.

In some cases, a pinky finger sprain may be part of a larger injury pattern. For example, it may occur in conjunction with a wrist or hand injury. In these situations, it is important to address all aspects of the injury to promote comprehensive healing. Your healthcare provider can help develop a treatment plan that addresses all of your needs and promotes optimal recovery.

In some cases, a pinky finger sprain may be part of a larger injury pattern. For example, it may occur in conjunction with a wrist or hand injury. In these situations, it is important to address all aspects of the injury to promote comprehensive healing. Your healthcare provider can help develop a treatment plan that addresses all of your needs and promotes optimal recovery.

In some cases, a pinky finger sprain may be part of a larger injury pattern. For example, it may occur in conjunction with a wrist or hand injury. In these situations, it is important to address all aspects of the injury to promote comprehensive healing. Your healthcare provider can help develop a treatment plan that addresses all of your needs and promotes optimal recovery.

In some cases, a pinky finger sprain may be part of a larger injury pattern. For example, it may occur in conjunction with a wrist or hand injury. In these situations, it is important to address all aspects of the injury to promote comprehensive healing. Your healthcare provider can help develop a treatment plan that addresses all of your needs and promotes optimal recovery.

In some cases, a pinky finger sprain may be part of a larger injury pattern. For example, it may occur in conjunction with a wrist or hand injury. In these situations, it is important to address all aspects of the injury to promote comprehensive healing. Your healthcare provider can help develop a treatment plan that addresses all of your needs and promotes optimal recovery.

In some cases, a pinky finger sprain may be part of a larger injury pattern. For example, it may occur in conjunction with a wrist or hand injury. In these situations, it is important to address all aspects of the injury to promote comprehensive healing. Your healthcare provider can help develop a treatment plan that addresses all of your needs and promotes optimal recovery.

In some cases, a pinky finger sprain may be part of a larger injury pattern. For example, it may occur in conjunction with a wrist or hand injury. In these situations, it is important to address all aspects of the injury to promote comprehensive healing. Your healthcare provider can help develop a treatment plan that addresses all of your needs and promotes optimal recovery.

In some cases, a pinky finger sprain may be part of a larger injury pattern. For example, it may occur in conjunction with a wrist or hand injury. In these situations, it is important to address all aspects of the injury to promote comprehensive healing. Your healthcare provider can help develop a treatment plan that addresses all of your needs and promotes optimal recovery.

In some cases, a pinky finger sprain may be part of a larger injury pattern. For example, it may occur in conjunction with a wrist or hand injury. In these situations, it is important to address all aspects of the injury to promote comprehensive healing. Your healthcare provider can help develop a treatment plan that addresses all of your needs and promotes optimal recovery.

In some cases, a pinky finger sprain may be part of a larger injury pattern. For example, it may occur in conjunction with a wrist or hand injury. In these situations, it is important to address all aspects of the injury to promote comprehensive healing. Your healthcare provider can help develop a treatment plan that addresses all of your needs and promotes optimal recovery.

In some cases, a pinky finger sprain may be part of a larger injury pattern. For example, it may occur in conjunction with a wrist or hand injury. In these situations, it is important to address all aspects of the injury to promote comprehensive healing. Your healthcare provider can help develop a treatment plan that addresses all of your needs and promotes optimal recovery.

In some cases, a pinky finger sprain may be part of a larger injury pattern. For example, it may occur in conjunction with a wrist or hand injury. In these situations, it is important to address all aspects of the injury to promote comprehensive healing. Your healthcare provider can help develop a treatment plan that addresses all of your needs and promotes optimal recovery.

In some cases, a pinky finger sprain may be part of a larger injury pattern. For example, it may occur in conjunction with a wrist or hand injury. In these situations, it is important to address all aspects of

Related Terms:

  • sprained finger still swollen
  • sprained pinky finger healing time
  • sprained finger treatment recovery time
  • sprained pinky finger symptoms
  • sprained finger not healing
  • signs of a sprained finger
Facebook Twitter WA
Ashley
Ashley
Author
Passionate content creator delivering insightful articles on technology, lifestyle, and more. Dedicated to bringing quality content that matters.
You Might Like