Placenta Previa Vs Abruption

Pregnancy can be a time of great joy and anticipation, but it can also come with unexpected challenges. Two of the most serious complications that can arise during pregnancy are placenta previa and placental abruption. Both conditions involve the placenta, the organ that provides oxygen and nutrients to the developing fetus, but they differ in their causes, symptoms, and management. Understanding the differences between placenta previa vs abruption is crucial for expectant mothers and healthcare providers to ensure the best possible outcomes for both mother and baby.

Understanding Placenta Previa

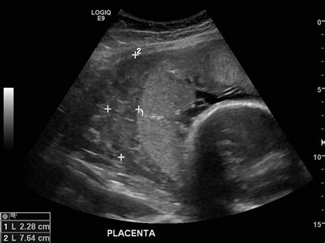
Placenta previa is a condition where the placenta partially or completely covers the cervix, the opening of the uterus. This can lead to significant bleeding during pregnancy and childbirth. The condition is typically diagnosed during a routine ultrasound, and it can occur in about 1 in 200 pregnancies.

Causes of Placenta Previa

While the exact cause of placenta previa is not always clear, several factors can increase the risk:

  • Previous cesarean delivery or uterine surgery
  • Multiple pregnancies (carrying twins, triplets, etc.)
  • Advanced maternal age (over 35)
  • Smoking during pregnancy
  • Previous placenta previa
  • Uterine abnormalities

Symptoms of Placenta Previa

The most common symptom of placenta previa is painless vaginal bleeding during the second or third trimester. This bleeding can be heavy and may require immediate medical attention. Other symptoms may include:

  • Abdominal pain
  • Low back pain
  • Fetal movement changes

Diagnosing Placenta Previa

Placenta previa is usually diagnosed through an ultrasound. During the ultrasound, the healthcare provider can visualize the placenta’s position in relation to the cervix. If placenta previa is suspected, further ultrasounds may be required to monitor the condition.

Managing Placenta Previa

Management of placenta previa depends on the severity of the condition and the gestational age of the fetus. In some cases, bed rest and close monitoring may be sufficient. In more severe cases, hospitalization and delivery via cesarean section may be necessary. The goal of management is to ensure the safety of both the mother and the baby.

📝 Note: Women with placenta previa should avoid sexual intercourse, using tampons, and douching to reduce the risk of bleeding.

Understanding Placental Abruption

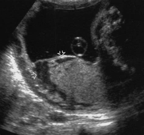
Placental abruption, also known as abruptio placentae, occurs when the placenta separates from the uterine wall before delivery. This can lead to severe bleeding and complications for both the mother and the baby. Placental abruption is less common than placenta previa, occurring in about 1 in 150 pregnancies.

Causes of Placental Abruption

The exact cause of placental abruption is often unknown, but several factors can increase the risk:

  • Trauma to the abdomen (e.g., car accidents, falls)
  • High blood pressure (hypertension)
  • Smoking during pregnancy
  • Previous placental abruption
  • Multiple pregnancies
  • Advanced maternal age
  • Uterine abnormalities

Symptoms of Placental Abruption

The symptoms of placental abruption can vary, but the most common signs include:

  • Vaginal bleeding (which may be heavy or light)
  • Abdominal pain or cramping
  • Back pain
  • Decreased fetal movement
  • Uterine tenderness

Diagnosing Placental Abruption

Diagnosing placental abruption can be challenging because the symptoms can be similar to other conditions. An ultrasound may be used to visualize the placenta and check for signs of separation. In some cases, a fetal heart rate monitor may be used to assess the baby’s well-being. Blood tests may also be ordered to check for signs of bleeding.

Managing Placental Abruption

Management of placental abruption depends on the severity of the condition and the gestational age of the fetus. In mild cases, bed rest and close monitoring may be sufficient. In more severe cases, immediate delivery via cesarean section may be necessary. The goal of management is to ensure the safety of both the mother and the baby.

📝 Note: Women with placental abruption should seek immediate medical attention if they experience any symptoms, as this condition can be life-threatening for both the mother and the baby.

Placenta Previa Vs Abruption: Key Differences

While both placenta previa and placental abruption involve the placenta and can lead to serious complications, they differ in several key ways. Understanding these differences is crucial for proper diagnosis and management.

Feature Placenta Previa Placental Abruption
Definition The placenta partially or completely covers the cervix. The placenta separates from the uterine wall before delivery.
Symptoms Painless vaginal bleeding, abdominal pain, low back pain Vaginal bleeding, abdominal pain, back pain, decreased fetal movement
Causes Previous cesarean delivery, multiple pregnancies, advanced maternal age, smoking Trauma, high blood pressure, smoking, previous abruption
Diagnosis Ultrasound Ultrasound, fetal heart rate monitor, blood tests
Management Bed rest, close monitoring, cesarean section if necessary Bed rest, close monitoring, immediate delivery if necessary

Risk Factors for Placenta Previa and Placental Abruption

Both placenta previa and placental abruption share some common risk factors, but there are also unique factors that increase the risk of each condition. Understanding these risk factors can help expectant mothers and healthcare providers take preventive measures.

Common Risk Factors

  • Smoking during pregnancy
  • Multiple pregnancies
  • Advanced maternal age
  • Previous uterine surgery

Unique Risk Factors for Placenta Previa

  • Previous cesarean delivery
  • Uterine abnormalities
  • Previous placenta previa

Unique Risk Factors for Placental Abruption

  • Trauma to the abdomen
  • High blood pressure (hypertension)
  • Previous placental abruption

Preventive Measures for Placenta Previa and Placental Abruption

While not all cases of placenta previa and placental abruption can be prevented, there are steps that expectant mothers can take to reduce their risk. These measures focus on maintaining a healthy lifestyle and seeking regular prenatal care.

Healthy Lifestyle

  • Avoid smoking during pregnancy
  • Maintain a balanced diet
  • Stay hydrated
  • Engage in regular, low-impact exercise
  • Avoid alcohol and drugs

Regular Prenatal Care

  • Attend all scheduled prenatal appointments
  • Follow your healthcare provider’s advice
  • Report any symptoms or concerns immediately

When to Seek Medical Attention

It is essential to know when to seek medical attention during pregnancy. Both placenta previa and placental abruption can be life-threatening if not managed promptly. Expectant mothers should contact their healthcare provider immediately if they experience any of the following symptoms:

  • Vaginal bleeding
  • Abdominal pain or cramping
  • Back pain
  • Decreased fetal movement
  • Uterine tenderness

Early detection and management of placenta previa and placental abruption can significantly improve outcomes for both the mother and the baby. Regular prenatal care and a healthy lifestyle can help reduce the risk of these conditions and ensure a safe and healthy pregnancy.

Understanding the differences between placenta previa vs abruption is crucial for expectant mothers and healthcare providers. Both conditions involve the placenta and can lead to serious complications, but they differ in their causes, symptoms, and management. By recognizing the signs and seeking prompt medical attention, expectant mothers can increase the chances of a successful outcome. Regular prenatal care, a healthy lifestyle, and awareness of risk factors can help prevent these conditions and ensure a safe and healthy pregnancy. The key to managing placenta previa and placental abruption is early detection and appropriate intervention, which can significantly improve outcomes for both the mother and the baby.

Related Terms:

  • placenta previa accreta abruption
  • placenta previa and abruption difference
  • reasons for placental abruption
  • 3 types of placental abruption
  • placenta previa vs abruptio symptoms
  • placenta previa vs abruption accreta
Facebook Twitter WA
Ashley
Ashley
Author
Passionate content creator delivering insightful articles on technology, lifestyle, and more. Dedicated to bringing quality content that matters.
You Might Like