Posterior Shoulder Dislocation

Posterior shoulder dislocation is a serious medical condition that occurs when the humeral head, the ball-shaped top of the upper arm bone, is forced out of the shoulder socket from the back. This type of dislocation is less common than anterior dislocations but can be equally debilitating. Understanding the causes, symptoms, diagnosis, and treatment options for posterior shoulder dislocation is crucial for effective management and recovery.

Causes of Posterior Shoulder Dislocation

Posterior shoulder dislocation typically results from a significant force applied to the shoulder, pushing the humeral head backward out of the socket. Common causes include:

  • Traumatic Injuries: High-impact accidents such as motor vehicle collisions, falls from significant heights, or sports-related injuries can lead to posterior shoulder dislocation.
  • Seizures: During a seizure, the muscles contract violently, which can dislocate the shoulder.
  • Electrocution: Similar to seizures, the powerful muscle contractions caused by electric shock can dislocate the shoulder.
  • Repetitive Stress: In rare cases, repetitive stress or overuse can weaken the shoulder joint, making it more susceptible to dislocation.

Symptoms of Posterior Shoulder Dislocation

Recognizing the symptoms of posterior shoulder dislocation is essential for prompt medical intervention. Common symptoms include:

  • Severe Pain: Immediate and intense pain in the shoulder area.
  • Deformity: Visible deformity or abnormal appearance of the shoulder.
  • Limited Range of Motion: Difficulty moving the arm or shoulder.
  • Swelling and Bruising: Swelling and bruising around the shoulder joint.
  • Numbness or Weakness: Numbness or weakness in the arm or hand.

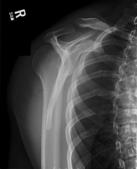
Diagnosis of Posterior Shoulder Dislocation

Diagnosing posterior shoulder dislocation involves a combination of physical examination and imaging tests. The diagnostic process typically includes:

  • Physical Examination: A healthcare provider will assess the shoulder for deformity, swelling, and range of motion.
  • Imaging Tests: X-rays are the primary imaging tool used to confirm the diagnosis. Additional tests such as CT scans or MRIs may be ordered to evaluate the extent of the injury and any associated damage to surrounding tissues.

Treatment Options for Posterior Shoulder Dislocation

Treatment for posterior shoulder dislocation aims to reduce the dislocation, manage pain, and promote healing. The treatment plan may include:

  • Closed Reduction: This procedure involves manually realigning the humeral head back into the shoulder socket. It is typically performed under sedation or anesthesia to minimize pain and discomfort.
  • Immobilization: After reduction, the shoulder is immobilized using a sling or brace to allow the tissues to heal. The duration of immobilization varies but usually lasts for several weeks.
  • Pain Management: Medications such as nonsteroidal anti-inflammatory drugs (NSAIDs) or opioids may be prescribed to manage pain.
  • Physical Therapy: Once the shoulder has healed sufficiently, physical therapy is essential to restore range of motion, strength, and function. Exercises may include:
Exercise Type Description
Passive Range of Motion Gentle movements performed by a therapist to improve flexibility.
Active Range of Motion Exercises performed by the patient to strengthen the shoulder muscles.
Strengthening Exercises Resistance training to build muscle strength and stability.
Proprioceptive Training Exercises to improve balance and coordination.

In some cases, surgical intervention may be necessary, especially if there is significant damage to the surrounding tissues or if the dislocation is recurrent. Surgical options include:

  • Arthroscopy: A minimally invasive procedure to repair damaged tissues using small incisions and specialized instruments.
  • Open Surgery: A more invasive procedure that may be required for complex repairs or when arthroscopy is not feasible.

📝 Note: Surgical intervention is typically considered a last resort and is only recommended when conservative treatments have failed or when there is significant tissue damage.

Recovery and Rehabilitation

Recovery from posterior shoulder dislocation can be a lengthy process, depending on the severity of the injury and the individual's overall health. Key aspects of recovery and rehabilitation include:

  • Pain Management: Continued use of pain medications as prescribed by the healthcare provider.
  • Immobilization: Wearing a sling or brace as directed to protect the shoulder during the initial healing phase.
  • Physical Therapy: Regular attendance at physical therapy sessions to follow a structured exercise program.
  • Gradual Return to Activities: Slowly resuming normal activities and sports under the guidance of a healthcare provider or physical therapist.

It is crucial to follow the rehabilitation plan closely to ensure a full recovery and minimize the risk of future dislocations. Regular follow-up appointments with the healthcare provider are essential to monitor progress and make any necessary adjustments to the treatment plan.

Posterior shoulder dislocation is a complex and potentially debilitating condition that requires prompt medical attention and a comprehensive treatment plan. Understanding the causes, symptoms, diagnosis, and treatment options is essential for effective management and recovery. By following a structured rehabilitation program and adhering to medical advice, individuals can regain shoulder function and return to their daily activities with confidence.

Related Terms:

  • posterior shoulder dislocation xr
  • posterior shoulder dislocation xrays
  • posterior dislocation on y view
  • y view shoulder posterior dislocation
  • litfl posterior shoulder dislocation
  • posterior dislocation shoulder ct
Facebook Twitter WA
Ashley
Ashley
Author
Passionate content creator delivering insightful articles on technology, lifestyle, and more. Dedicated to bringing quality content that matters.
You Might Like