Prostate Cancer On Mri

Prostate cancer is one of the most common types of cancer affecting men worldwide. Early detection and accurate diagnosis are crucial for effective treatment. One of the most advanced and reliable methods for diagnosing prostate cancer is through Magnetic Resonance Imaging (MRI). This non-invasive technique provides detailed images of the prostate gland, helping healthcare professionals to detect and stage prostate cancer more accurately.

Understanding Prostate Cancer

Prostate cancer develops in the prostate gland, a small walnut-shaped gland in men that produces the seminal fluid that nourishes and transports sperm. While the exact causes of prostate cancer are not fully understood, several risk factors have been identified, including:

  • Age: The risk of prostate cancer increases with age, with most cases diagnosed in men over 65.
  • Family history: Men with a family history of prostate cancer are at a higher risk.
  • Race: African American men have a higher risk of developing prostate cancer.
  • Diet: A diet high in red meat and dairy products and low in fruits and vegetables may increase the risk.

The Role of MRI in Prostate Cancer Diagnosis

MRI has become an essential tool in the diagnosis and management of prostate cancer. Unlike traditional imaging methods, MRI provides high-resolution images that can detect even small tumors within the prostate gland. This makes it particularly useful for prostate cancer on MRI detection and staging.

Types of MRI for Prostate Cancer

There are several types of MRI scans that can be used to evaluate the prostate gland:

  • Conventional MRI: This type of MRI provides detailed images of the prostate gland and surrounding tissues. It is often used to assess the size and shape of the prostate and to detect any abnormalities.
  • Multiparametric MRI (mpMRI): This advanced technique combines several MRI sequences to provide a comprehensive evaluation of the prostate. It includes:
  • T2-weighted imaging: Provides detailed anatomical images of the prostate.
  • Diffusion-weighted imaging (DWI): Measures the movement of water molecules within tissues to detect areas of restricted diffusion, which may indicate cancer.
  • Dynamic contrast-enhanced (DCE) MRI: Uses a contrast agent to assess blood flow and vascularity within the prostate, helping to identify areas of increased blood flow that may be associated with cancer.
  • Spectroscopic imaging: Measures the chemical composition of tissues to detect metabolic changes that may indicate cancer.

Preparing for a Prostate MRI

Preparing for a prostate MRI involves several steps to ensure accurate results and a comfortable experience. Here are some key points to consider:

  • Consultation with a healthcare provider: Before the MRI, patients should consult with their healthcare provider to discuss any concerns or questions they may have.
  • Medications: Patients should inform their healthcare provider about any medications they are taking, as some may need to be adjusted or temporarily stopped before the MRI.
  • Bowel preparation: Patients may be asked to follow a specific diet or take laxatives to ensure the bowel is empty during the MRI, as this can improve image quality.
  • Endorectal coil: In some cases, an endorectal coil may be used to enhance the quality of the images. This involves inserting a small coil into the rectum, which can be uncomfortable but is generally well-tolerated.

What to Expect During a Prostate MRI

During a prostate MRI, patients will lie on a table that slides into the MRI machine. The procedure typically takes about 30 to 60 minutes. Here are some key points to expect:

  • Positioning: Patients will be positioned on their back with their feet first into the MRI machine. Pillows or supports may be used to ensure comfort and proper positioning.
  • Noise: The MRI machine produces loud knocking or tapping noises during the scan. Patients will be provided with earplugs or headphones to reduce the noise.
  • Contrast agent: In some cases, a contrast agent may be injected intravenously to enhance the visibility of certain tissues. This is generally well-tolerated but can cause temporary side effects such as a metallic taste in the mouth or a warm sensation.
  • Communication: Patients will be able to communicate with the technologist throughout the procedure using an intercom system. It is important to remain still during the scan to ensure clear images.

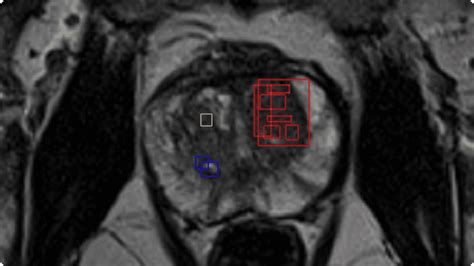
Interpreting Prostate MRI Results

Interpreting the results of a prostate MRI involves a detailed analysis of the images by a radiologist. The findings are typically reported using a standardized scoring system, such as the Prostate Imaging Reporting and Data System (PI-RADS). This system helps to categorize the likelihood of clinically significant prostate cancer based on the MRI findings.

Here is a table outlining the PI-RADS scoring system:

PI-RADS Score Description Likelihood of Clinically Significant Cancer
1 Very low (clinically significant cancer is highly unlikely to be present) Less than 5%
2 Low (clinically significant cancer is unlikely to be present) 5-10%
3 Intermediate (clinically significant cancer is equivocal) 10-20%
4 High (clinically significant cancer is likely to be present) 20-30%
5 Very high (clinically significant cancer is highly likely to be present) Greater than 30%

Based on the PI-RADS score, healthcare providers can determine the next steps in diagnosis and treatment. For example, a score of 3 or higher may warrant further evaluation, such as a prostate biopsy, to confirm the presence of cancer and determine its stage and grade.

📝 Note: The PI-RADS scoring system is just one tool used to interpret prostate MRI results. Healthcare providers may also consider other factors, such as the patient's medical history and symptoms, when making diagnostic and treatment decisions.

Benefits of Prostate MRI

Prostate MRI offers several benefits for the diagnosis and management of prostate cancer:

  • High-resolution imaging: MRI provides detailed images of the prostate gland, allowing for the detection of small tumors that may not be visible on other imaging tests.
  • Non-invasive: Unlike a prostate biopsy, MRI is a non-invasive procedure that does not require the insertion of needles into the prostate.
  • Accurate staging: MRI can help to accurately stage prostate cancer by assessing the extent of the tumor and whether it has spread to nearby tissues or lymph nodes.
  • Guided biopsies: MRI can be used to guide prostate biopsies, increasing the accuracy of the biopsy and reducing the risk of missing cancerous tissue.
  • Monitoring treatment: MRI can be used to monitor the response to treatment and detect any recurrence of cancer.

Limitations of Prostate MRI

While prostate MRI is a valuable tool, it does have some limitations:

  • Cost: MRI scans can be expensive, and insurance coverage may vary.
  • Availability: Not all healthcare facilities have access to MRI machines or trained radiologists who specialize in prostate imaging.
  • False positives/negatives: Like any diagnostic test, MRI can produce false positives or false negatives. A false positive result may lead to unnecessary biopsies or anxiety, while a false negative result may delay diagnosis and treatment.
  • Patient discomfort: Some patients may find the MRI procedure uncomfortable, especially if an endorectal coil is used.

📝 Note: It is important for patients to discuss the benefits and limitations of prostate MRI with their healthcare provider to make an informed decision about their diagnostic and treatment options.

Advances in Prostate MRI Technology

Prostate MRI technology continues to evolve, with new advancements improving the accuracy and efficiency of prostate cancer detection. Some of the latest developments include:

  • Artificial intelligence (AI): AI algorithms are being developed to assist radiologists in interpreting prostate MRI images. These algorithms can help to identify subtle changes in the prostate that may indicate cancer, improving diagnostic accuracy.
  • Functional MRI: Functional MRI techniques, such as diffusion-weighted imaging and dynamic contrast-enhanced MRI, provide additional information about the metabolic and vascular characteristics of prostate tumors. This can help to differentiate between benign and malignant lesions.
  • 3D MRI: 3D MRI techniques provide more detailed and comprehensive images of the prostate gland, allowing for better visualization of tumor size, shape, and location.
  • Fusion imaging: Fusion imaging combines MRI images with ultrasound images to provide a more accurate and detailed view of the prostate. This can be particularly useful for guiding prostate biopsies and planning treatment.

Future Directions in Prostate MRI

The future of prostate MRI holds great promise for improving the diagnosis and management of prostate cancer. Ongoing research and development are focused on several key areas:

  • Improving image quality: Advances in MRI technology are aimed at enhancing image resolution and contrast, making it easier to detect and characterize prostate tumors.
  • Enhancing diagnostic accuracy: New imaging techniques and AI algorithms are being developed to improve the accuracy of prostate cancer detection and staging.
  • Personalized medicine: Prostate MRI is increasingly being used to tailor treatment plans to individual patients based on their specific tumor characteristics and risk factors.
  • Early detection: Efforts are underway to develop screening programs that use prostate MRI to detect prostate cancer at an early stage, when it is most treatable.

As research continues, prostate MRI is expected to play an even more significant role in the early detection, accurate diagnosis, and effective management of prostate cancer.

Prostate MRI is a powerful tool for the diagnosis and management of prostate cancer. By providing high-resolution images of the prostate gland, MRI helps healthcare professionals to detect and stage prostate cancer more accurately. While there are some limitations to prostate MRI, ongoing advancements in technology and research are continually improving its effectiveness. Patients should discuss the benefits and limitations of prostate MRI with their healthcare provider to make informed decisions about their diagnostic and treatment options.

Related Terms:

  • will mri detect prostate cancer
  • mri used for prostate cancer
  • mri prostate cancer prognosis
  • prostate cancer tests by mri
  • mri scan to check prostate
  • best mri for prostate cancer
Facebook Twitter WA
Ashley
Ashley
Author
Passionate content creator delivering insightful articles on technology, lifestyle, and more. Dedicated to bringing quality content that matters.
You Might Like