Proximal Fibula Fracture

Understanding the intricacies of a Proximal Fibula Fracture is crucial for both medical professionals and individuals who may experience this type of injury. This blog post delves into the causes, symptoms, diagnosis, treatment options, and recovery process associated with a proximal fibula fracture. By providing comprehensive information, we aim to empower readers with the knowledge needed to navigate this medical condition effectively.

What is a Proximal Fibula Fracture?

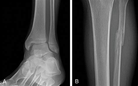
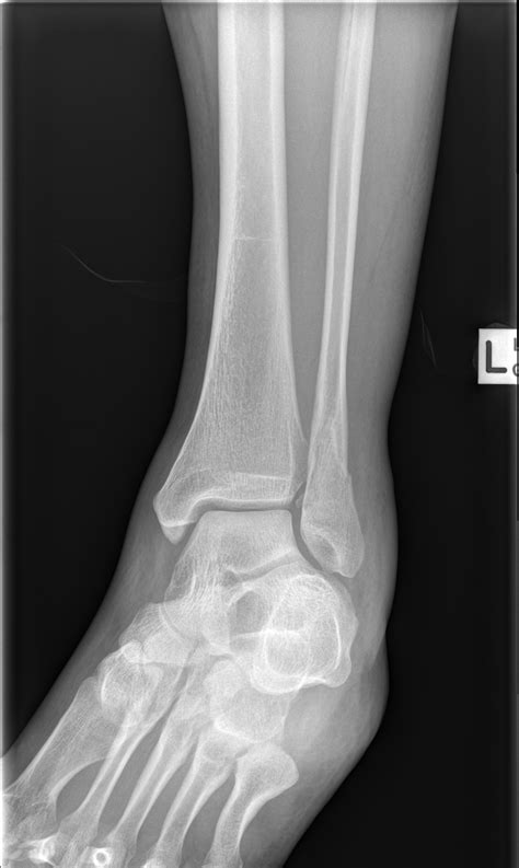
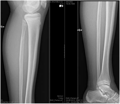
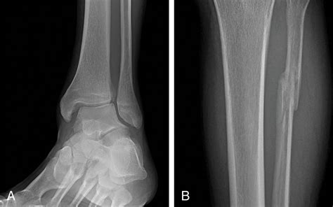
A Proximal Fibula Fracture refers to a break in the upper part of the fibula, the smaller of the two bones in the lower leg. The fibula runs parallel to the tibia, the larger bone, and plays a significant role in stabilizing the ankle and knee joints. A fracture in this area can be caused by various factors, including trauma, sports injuries, and falls.

Causes of Proximal Fibula Fracture

The most common causes of a Proximal Fibula Fracture include:

  • Traumatic injuries, such as car accidents or falls from significant heights.
  • Sports-related injuries, particularly in contact sports like football, soccer, and basketball.
  • Direct blows to the outer part of the knee or lower leg.
  • Twisting or rotational injuries to the leg.

Symptoms of Proximal Fibula Fracture

Recognizing the symptoms of a Proximal Fibula Fracture is essential for prompt medical attention. Common symptoms include:

  • Severe pain in the outer part of the knee or lower leg.
  • Swelling and bruising around the affected area.
  • Difficulty bearing weight on the injured leg.
  • Deformity or visible misalignment of the leg.
  • Limited range of motion in the knee or ankle.

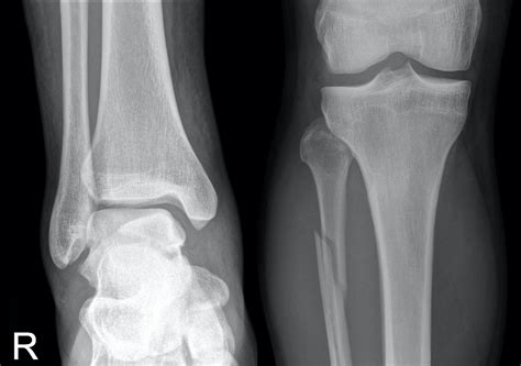
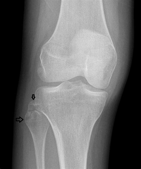
Diagnosis of Proximal Fibula Fracture

Diagnosing a Proximal Fibula Fracture involves a combination of physical examination and imaging tests. The diagnostic process typically includes:

  • Physical examination: A healthcare provider will assess the injured area for pain, swelling, and deformity.
  • X-rays: Imaging tests to visualize the bone and determine the location and severity of the fracture.
  • CT scans or MRI: In some cases, more detailed imaging may be required to assess the extent of the injury and plan treatment.

Treatment Options for Proximal Fibula Fracture

The treatment for a Proximal Fibula Fracture depends on the severity of the injury and the individual’s overall health. Common treatment options include:

  • Non-surgical treatment: For less severe fractures, conservative management may involve:
    • Rest, ice, compression, and elevation (RICE) to reduce pain and swelling.
    • Immobilization with a cast, splint, or brace to stabilize the fracture.
    • Pain management with medications such as nonsteroidal anti-inflammatory drugs (NSAIDs) or opioids.
    • Physical therapy to restore range of motion and strength.
  • Surgical treatment: For more complex or displaced fractures, surgery may be necessary. Surgical options include:
    • Open reduction and internal fixation (ORIF): A procedure to realign the bone fragments and secure them with plates, screws, or rods.
    • Closed reduction and percutaneous pinning: A minimally invasive procedure to realign the bone fragments using pins inserted through the skin.

Recovery and Rehabilitation

Recovery from a Proximal Fibula Fracture can vary depending on the severity of the injury and the chosen treatment method. The rehabilitation process typically involves several stages:

  • Immobilization: The initial phase focuses on stabilizing the fracture to promote healing. This may involve wearing a cast, splint, or brace for several weeks.
  • Physical therapy: Once the fracture has begun to heal, physical therapy is crucial for restoring range of motion, strength, and flexibility. Exercises may include:
    • Range-of-motion exercises to improve flexibility.
    • Strengthening exercises to rebuild muscle mass and stability.
    • Balance and proprioception exercises to enhance coordination and prevent future injuries.
  • Gradual return to activities: As healing progresses, individuals can gradually return to their normal activities, including work and sports. It is essential to follow the guidance of a healthcare provider to avoid reinjury.

Complications and Risks

While most Proximal Fibula Fractures heal without complications, there are potential risks and complications to be aware of:

  • Nonunion or malunion: In some cases, the bone may not heal properly, leading to a nonunion (failure to heal) or malunion (healing in an incorrect position).
  • Infection: Surgical treatment carries a risk of infection, which can delay healing and require additional treatment.
  • Nerve or blood vessel damage: Injuries to nearby nerves or blood vessels can occur, leading to numbness, weakness, or impaired circulation.
  • Arthritis: Long-term complications may include the development of arthritis in the knee or ankle joint.

Prevention of Proximal Fibula Fracture

While not all Proximal Fibula Fractures can be prevented, there are steps individuals can take to reduce the risk of injury:

  • Wear appropriate protective gear during sports and physical activities.
  • Maintain strong bones through a balanced diet rich in calcium and vitamin D.
  • Engage in regular exercise to improve muscle strength and flexibility.
  • Avoid high-risk activities that increase the likelihood of falls or traumatic injuries.

🔍 Note: Always consult with a healthcare provider for personalized advice and treatment options tailored to your specific needs.

In summary, a Proximal Fibula Fracture is a significant injury that requires prompt medical attention and appropriate treatment. Understanding the causes, symptoms, diagnosis, and treatment options can help individuals navigate this condition effectively. With proper care and rehabilitation, most people can achieve a full recovery and return to their normal activities.

Related Terms:

  • fibular head fracture
  • proximal fibula fracture name
  • proximal fibula fracture radiology
  • proximal fibula fracture splint
  • midshaft fibula fracture orthobullets
  • proximal fibula fracture protocol
Facebook Twitter WA
Ashley
Ashley
Author
Passionate content creator delivering insightful articles on technology, lifestyle, and more. Dedicated to bringing quality content that matters.
You Might Like