Rapidly Progressive Glomerulonephritis

Rapidly Progressive Glomerulonephritis (RPGN) is a severe and rapidly advancing form of kidney disease that affects the glomeruli, the tiny filters in the kidneys responsible for removing waste and excess fluids from the blood. This condition is characterized by a swift decline in kidney function, often leading to end-stage renal disease within a few months if left untreated. Understanding the causes, symptoms, diagnosis, and treatment options for RPGN is crucial for early intervention and better patient outcomes.

Understanding Rapidly Progressive Glomerulonephritis

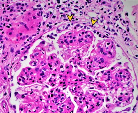
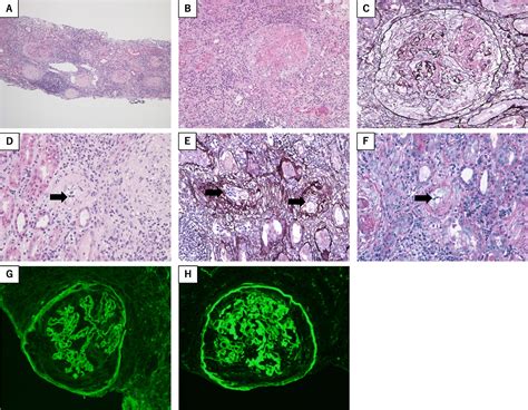
RPGN is a syndrome rather than a single disease, encompassing a group of conditions that cause rapid and severe damage to the glomeruli. The primary feature of RPGN is the presence of crescents in the glomeruli, which are composed of cells that accumulate in the Bowman's space, leading to the destruction of the glomerular structure. This process impairs the kidney's ability to filter blood, resulting in a rapid decline in renal function.

Causes of Rapidly Progressive Glomerulonephritis

RPGN can be caused by various underlying conditions, which are often classified into three main types based on the presence of immune complexes and antibodies:

  • Type I: Anti-GBM Disease - This type is caused by antibodies that attack the glomerular basement membrane (GBM), a part of the glomerulus. The antibodies bind to the GBM, triggering an immune response that damages the glomeruli.
  • Type II: Immune Complex-Mediated Glomerulonephritis - This type involves the deposition of immune complexes (antibodies bound to antigens) in the glomeruli, leading to inflammation and damage. Examples include lupus nephritis and post-infectious glomerulonephritis.
  • Type III: Pauci-Immune Glomerulonephritis - This type is characterized by the absence of significant immune deposits in the glomeruli. It is often associated with anti-neutrophil cytoplasmic antibodies (ANCA) and is seen in conditions like granulomatosis with polyangiitis (GPA) and microscopic polyangiitis (MPA).

Symptoms of Rapidly Progressive Glomerulonephritis

The symptoms of RPGN can vary but often include:

  • Hematuria (blood in the urine)
  • Proteinuria (excess protein in the urine)
  • Edema (swelling, often in the legs and around the eyes)
  • Hypertension (high blood pressure)
  • Fatigue and weakness
  • Fever
  • Shortness of breath
  • Nausea and vomiting

These symptoms can develop rapidly, often within a few weeks to months, and can be life-threatening if not promptly addressed.

Diagnosis of Rapidly Progressive Glomerulonephritis

Diagnosing RPGN involves a combination of clinical evaluation, laboratory tests, and imaging studies. Key diagnostic steps include:

  • Urinalysis - To detect the presence of blood and protein in the urine.
  • Blood Tests - To assess kidney function, including creatinine and blood urea nitrogen (BUN) levels, and to detect the presence of antibodies such as ANCA and anti-GBM antibodies.
  • Kidney Biopsy - A definitive diagnosis often requires a kidney biopsy to examine the glomeruli under a microscope. The biopsy can reveal the presence of crescents and help determine the type of RPGN.
  • Imaging Studies - Such as ultrasound or CT scan to evaluate the size and structure of the kidneys.

Early and accurate diagnosis is essential for initiating appropriate treatment and improving patient outcomes.

Treatment Options for Rapidly Progressive Glomerulonephritis

The treatment of RPGN depends on the underlying cause and the severity of the disease. Common treatment approaches include:

  • Immunosuppressive Therapy - Medications such as corticosteroids, cyclophosphamide, and rituximab are often used to suppress the immune system and reduce inflammation.
  • Plasma Exchange - This procedure involves removing the patient's plasma and replacing it with donor plasma or a plasma substitute. It is particularly effective in removing circulating antibodies in conditions like anti-GBM disease.
  • Supportive Care - This includes managing symptoms such as hypertension, edema, and electrolyte imbalances. Dialysis may be necessary in cases of severe kidney failure.

Treatment is often aggressive and requires close monitoring by a nephrologist to manage potential side effects and complications.

Prognosis and Management

The prognosis for patients with RPGN varies depending on the underlying cause, the extent of kidney damage, and the response to treatment. Early diagnosis and prompt intervention can significantly improve outcomes. However, even with treatment, some patients may progress to end-stage renal disease, requiring long-term dialysis or a kidney transplant.

Ongoing management involves regular follow-ups with a nephrologist, monitoring kidney function, and managing any complications that arise. Lifestyle modifications, such as a low-sodium diet and avoiding nephrotoxic medications, can also help preserve kidney function.

Prevention and Awareness

Preventing RPGN involves addressing the underlying conditions that can lead to this syndrome. For example, managing autoimmune diseases, treating infections promptly, and avoiding exposure to environmental toxins can reduce the risk of developing RPGN. Raising awareness about the symptoms and the importance of early diagnosis is crucial for improving patient outcomes.

Education and support for patients and their families are essential. Understanding the disease, its treatment options, and the importance of adherence to the treatment plan can help patients cope with the challenges of RPGN.

Rapidly Progressive Glomerulonephritis is a complex and severe condition that requires prompt diagnosis and aggressive treatment. By understanding the causes, symptoms, and treatment options, healthcare providers and patients can work together to manage this disease effectively and improve quality of life.

📝 Note: This blog post provides general information about Rapidly Progressive Glomerulonephritis and should not be used as a substitute for professional medical advice. Always consult a healthcare provider for personalized medical guidance.

Rapidly Progressive Glomerulonephritis is a challenging condition that demands immediate medical attention. Early recognition of symptoms, accurate diagnosis, and timely intervention are key to managing this disease effectively. While the prognosis can vary, advancements in medical treatments offer hope for better outcomes. Continuous research and awareness efforts are essential to improve the understanding and management of RPGN, ultimately enhancing the lives of those affected by this severe kidney disease.

Related Terms:

  • rapidly progressive glomerulonephritis symptoms
  • rapid progressive glomerulonephritis treatment
  • crescentic glomerulonephritis prognosis
  • rapidly progressive glomerulonephritis causes
  • what is rapidly progressive glomerulonephritis
  • diffuse crescentic glomerulonephritis
Facebook Twitter WA
Ashley
Ashley
Author
Passionate content creator delivering insightful articles on technology, lifestyle, and more. Dedicated to bringing quality content that matters.
You Might Like