Rectal Fistula Images

Rectal fistulas are a complex and often misunderstood medical condition that can significantly impact a person's quality of life. Understanding what rectal fistulas are, their causes, symptoms, and treatment options is crucial for anyone dealing with this condition. This post aims to provide a comprehensive overview, including the importance of rectal fistula images in diagnosis and treatment.

Understanding Rectal Fistulas

A rectal fistula is an abnormal connection between the rectum or anus and another organ, such as the skin, vagina, or bladder. This condition can be congenital (present at birth) or acquired (developing later in life). Acquired fistulas are more common and often result from infections, injuries, or surgical complications.

Causes of Rectal Fistulas

The causes of rectal fistulas can vary widely. Some of the most common causes include:

  • Infections: Conditions like Crohn's disease, diverticulitis, and abscesses can lead to the formation of fistulas.
  • Injuries: Trauma to the rectal area, including surgical injuries, can result in fistulas.
  • Radiation Therapy: Radiation treatment for cancer can sometimes cause tissue damage leading to fistulas.
  • Diversion Colitis: This condition can occur after a colostomy or ileostomy, leading to inflammation and potential fistula formation.

Symptoms of Rectal Fistulas

The symptoms of rectal fistulas can vary depending on the location and severity of the fistula. Common symptoms include:

  • Discharge: Pus or fecal matter may drain from the fistula.
  • Pain: Persistent pain or discomfort in the rectal area.
  • Swelling: Inflammation and swelling around the fistula.
  • Fever: Elevated body temperature due to infection.
  • Rectal Bleeding: Blood in the stool or from the fistula.

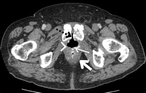
The Role of Rectal Fistula Images in Diagnosis

Accurate diagnosis is crucial for effective treatment. Rectal fistula images play a vital role in this process. These images can be obtained through various diagnostic techniques, including:

  • Endoanal Ultrasound: This non-invasive procedure uses sound waves to create detailed images of the anal and rectal areas.
  • Magnetic Resonance Imaging (MRI): MRI provides high-resolution images that can help identify the location and extent of the fistula.
  • Computed Tomography (CT) Scan: CT scans offer detailed cross-sectional images of the body, aiding in the diagnosis of complex fistulas.
  • Fistulography: This involves injecting a contrast dye into the fistula and taking X-rays to visualize the tract.

These imaging techniques help healthcare providers determine the type and complexity of the fistula, which is essential for planning the appropriate treatment.

Treatment Options for Rectal Fistulas

The treatment of rectal fistulas depends on the underlying cause, the location of the fistula, and the patient's overall health. Common treatment options include:

  • Medications: Antibiotics may be prescribed to treat infections. In some cases, medications to reduce inflammation, such as those used for Crohn's disease, may be necessary.
  • Drainage: Draining the abscess or fistula can provide immediate relief and help prevent further infection.
  • Surgery: Surgical procedures are often required to repair the fistula. The type of surgery depends on the complexity of the fistula. Common surgical techniques include:
Surgical Technique Description
Fistulotomy Involves cutting open the fistula to allow it to heal from the inside out.
Seton Placement A seton (a thin, flexible thread) is placed through the fistula to keep it open and drain any infection.
Fistula Plug A biodegradable plug is inserted into the fistula to promote healing.
LIFT Procedure Ligation of Intersphincteric Fistula Tract involves tying off the fistula tract and removing it.

Each surgical technique has its advantages and potential risks, and the choice of procedure will depend on the individual patient's needs and the complexity of the fistula.

📌 Note: It is essential to consult with a healthcare provider to determine the most appropriate treatment plan for rectal fistulas.

Post-Treatment Care and Recovery

After treatment, proper post-operative care is crucial for a successful recovery. Patients should follow their healthcare provider's instructions, which may include:

  • Wound Care: Keeping the surgical site clean and dry to prevent infection.
  • Pain Management: Using prescribed pain medications to manage discomfort.
  • Dietary Changes: Following a diet that promotes healing, such as a high-fiber diet to prevent constipation.
  • Follow-Up Appointments: Regular check-ups to monitor healing and address any complications.

Recovery time can vary depending on the type of treatment and the individual's overall health. It is important to be patient and follow the healthcare provider's recommendations for the best outcomes.

Preventing Rectal Fistulas

While not all rectal fistulas can be prevented, there are steps individuals can take to reduce their risk. These include:

  • Managing Underlying Conditions: Properly managing conditions like Crohn's disease and diverticulitis can help prevent fistula formation.
  • Maintaining Good Hygiene: Keeping the anal area clean and dry can help prevent infections.
  • Avoiding Trauma: Being cautious to avoid injuries to the rectal area.
  • Regular Check-Ups: Regular medical check-ups can help detect and treat potential issues early.

By taking these preventive measures, individuals can reduce their risk of developing rectal fistulas and improve their overall health.

Rectal fistulas are a challenging condition that requires careful diagnosis and treatment. Rectal fistula images are invaluable in this process, providing healthcare providers with the detailed information needed to plan effective treatment strategies. Understanding the causes, symptoms, and treatment options for rectal fistulas can help individuals manage this condition more effectively and improve their quality of life.

Related Terms:

  • fistula near anus
  • what causes a rectal fistula
  • fistula near rectum
  • fistula around the anus
  • fistula in rectum
  • fistula in rectum area
Facebook Twitter WA
Ashley
Ashley
Author
Passionate content creator delivering insightful articles on technology, lifestyle, and more. Dedicated to bringing quality content that matters.
You Might Like