Slap Tear Mri

Understanding the intricacies of a Slap Tear MRI is crucial for anyone dealing with shoulder injuries, particularly those involving the labrum. The labrum is a ring of cartilage that surrounds the shoulder socket, providing stability and cushioning. A SLAP (Superior Labrum Anterior and Posterior) tear occurs at the top of the labrum where the biceps tendon attaches. This type of injury can be debilitating, affecting both athletes and non-athletes alike. An MRI (Magnetic Resonance Imaging) scan is often used to diagnose a SLAP tear, offering detailed images of the shoulder's internal structures.

What is a SLAP Tear?

A SLAP tear is a specific type of shoulder injury that affects the labrum, particularly the superior portion. The labrum is a fibrous cartilage that lines the shoulder socket, helping to keep the ball of the shoulder joint in place. A SLAP tear can occur due to various reasons, including:

  • Traumatic injuries, such as a fall on an outstretched arm or a direct blow to the shoulder.
  • Repetitive overhead motions, common in sports like baseball, tennis, or swimming.
  • Degenerative changes due to aging or wear and tear.

SLAP tears are classified into four types based on their severity and location:

Type Description
Type I Fraying of the superior labrum without significant tearing.
Type II Separation of the labrum and biceps tendon from the glenoid (shoulder socket).
Type III Bucket-handle tear of the superior labrum, where the tear extends into the biceps tendon.
Type IV Bucket-handle tear that extends into the biceps tendon, with a displaced flap of tissue.

Symptoms of a SLAP Tear

Recognizing the symptoms of a SLAP tear is the first step toward seeking appropriate medical attention. Common symptoms include:

  • Shoulder pain, often described as a dull ache or sharp pain.
  • A sensation of catching, locking, or popping in the shoulder.
  • Decreased range of motion and weakness in the shoulder.
  • Difficulty performing overhead activities, such as throwing or lifting.
  • A feeling of instability or looseness in the shoulder joint.

These symptoms can vary in severity and may worsen with activity. If you experience any of these symptoms, it is essential to consult a healthcare professional for a proper evaluation.

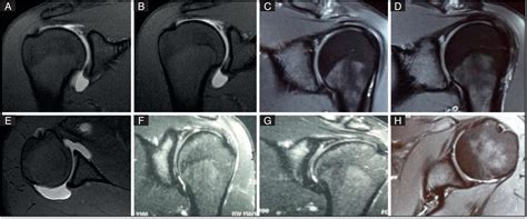
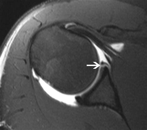
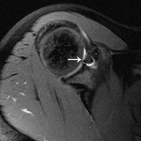
Diagnosing a SLAP Tear with MRI

An MRI is a non-invasive imaging technique that uses magnetic fields and radio waves to produce detailed images of the body’s internal structures. For diagnosing a Slap Tear MRI, the scan provides high-resolution images of the shoulder joint, allowing radiologists to identify tears in the labrum and other soft tissue injuries.

During a Slap Tear MRI, the patient lies on a table that slides into a cylindrical machine. The machine emits magnetic fields and radio waves, which are detected by a receiver coil placed around the shoulder. The data collected is then processed by a computer to generate detailed images of the shoulder joint.

To enhance the visibility of the labrum and other soft tissues, contrast agents may be used. These agents are injected into the shoulder joint before the MRI scan, highlighting any abnormalities or tears in the labrum.

Slap Tear MRI scans are particularly useful for diagnosing SLAP tears because they provide clear images of the labrum and surrounding structures. However, interpreting the results requires expertise, as SLAP tears can be subtle and easily missed.

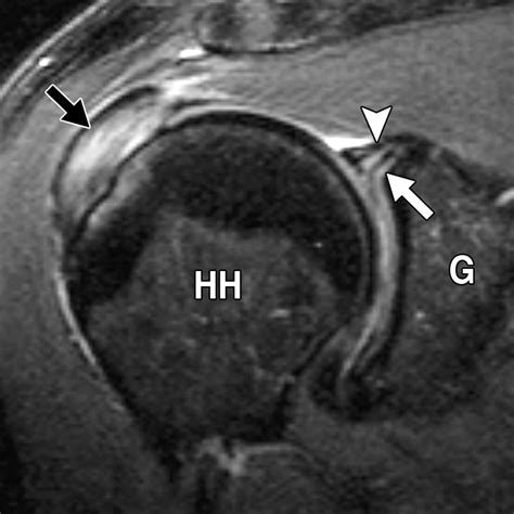
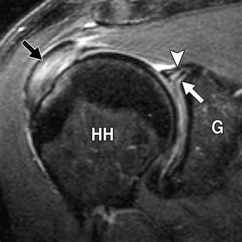
Interpreting SLAP Tear MRI Results

Interpreting the results of a Slap Tear MRI involves a thorough examination of the images by a radiologist. Key findings that indicate a SLAP tear include:

  • Abnormal signal intensity within the labrum, suggesting a tear.
  • Displacement or detachment of the labrum from the glenoid.
  • Fluid or contrast agent extending into the tear, highlighting the extent of the injury.
  • Associated injuries, such as rotator cuff tears or biceps tendon pathology.

Radiologists use specific criteria to classify SLAP tears based on their appearance on MRI images. For example, a Type II SLAP tear may show detachment of the labrum and biceps tendon from the glenoid, while a Type IV tear may exhibit a displaced flap of tissue.

It is important to note that MRI findings should be correlated with the patient’s symptoms and clinical examination results. A multidisciplinary approach involving orthopedic surgeons, radiologists, and physical therapists is often necessary for accurate diagnosis and effective treatment.

Treatment Options for SLAP Tears

Treatment for SLAP tears depends on the severity of the injury, the patient’s age, activity level, and overall health. Conservative management is often the first line of treatment, focusing on reducing pain and inflammation, restoring range of motion, and strengthening the shoulder muscles.

Conservative treatment options include:

  • Rest and activity modification to avoid aggravating the injury.
  • Ice application to reduce pain and inflammation.
  • Non-steroidal anti-inflammatory drugs (NSAIDs) to manage pain and inflammation.
  • Physical therapy to improve range of motion, strength, and stability.

In cases where conservative treatment fails to provide relief, surgical intervention may be necessary. Arthroscopic surgery is a minimally invasive procedure that allows surgeons to repair the torn labrum using small incisions and specialized instruments. The goal of surgery is to reattach the labrum to the glenoid, restoring stability and function to the shoulder joint.

Post-operative rehabilitation is crucial for a successful recovery. Physical therapy plays a vital role in regaining range of motion, strength, and proprioception. A structured rehabilitation program, tailored to the patient’s needs, helps ensure a safe and effective return to activities.

Preventing SLAP Tears

While not all SLAP tears can be prevented, certain measures can help reduce the risk of injury. For athletes and individuals involved in overhead activities, proper warm-up and stretching routines are essential. Strengthening the shoulder muscles, particularly the rotator cuff and scapular stabilizers, can enhance shoulder stability and reduce the risk of injury.

Proper technique and form during sports and activities are also crucial. Avoiding sudden, forceful movements and gradually increasing the intensity of activities can help prevent overuse injuries. Additionally, using appropriate equipment and protective gear can provide added support and reduce the risk of trauma.

For individuals with a history of shoulder injuries or degenerative changes, regular check-ups and maintenance exercises can help monitor shoulder health and address any issues early.

📝 Note: Always consult a healthcare professional for personalized advice and treatment recommendations.

In summary, understanding the intricacies of a Slap Tear MRI is essential for diagnosing and managing SLAP tears effectively. Recognizing the symptoms, undergoing a thorough evaluation, and following appropriate treatment protocols can help individuals recover from this debilitating injury and return to their daily activities with confidence. Early intervention and a multidisciplinary approach are key to achieving optimal outcomes and preventing long-term complications.

Related Terms:

  • slap tear mri image
  • slap tear mri arthrogram
  • type 1 slap tear mri
  • slap tear mri types
  • slap radiology
  • labral tear mri
Facebook Twitter WA
Ashley
Ashley
Author
Passionate content creator delivering insightful articles on technology, lifestyle, and more. Dedicated to bringing quality content that matters.
You Might Like