Sore Roof Of Mouth

Dealing with a sore roof of mouth can be incredibly uncomfortable and disruptive to daily life. This condition, often characterized by pain, swelling, and sometimes even blisters or ulcers, can have various causes ranging from minor irritations to more serious underlying health issues. Understanding the potential causes, symptoms, and effective treatments can help alleviate discomfort and prevent future occurrences.

Understanding the Roof of the Mouth

The roof of the mouth, also known as the palate, is divided into two parts: the hard palate and the soft palate. The hard palate is the bony front portion, while the soft palate is the muscular back portion that includes the uvula. The roof of the mouth plays a crucial role in speech, swallowing, and breathing. Any discomfort or pain in this area can significantly impact these functions.

Common Causes of a Sore Roof of Mouth

A sore roof of mouth can be caused by a variety of factors. Some of the most common causes include:

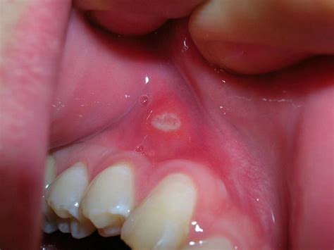
  • Canker Sores: These are small, painful lesions that can appear on the roof of the mouth, inside the cheeks, or on the tongue. They are not contagious and usually heal on their own within a week or two.
  • Cold Sores: Unlike canker sores, cold sores are caused by the herpes simplex virus and are contagious. They typically appear around the lips but can sometimes affect the roof of the mouth.
  • Burns: Hot food or beverages can cause burns on the roof of the mouth, leading to pain and discomfort.
  • Dental Issues: Ill-fitting dentures, braces, or other dental appliances can irritate the roof of the mouth, causing sores and discomfort.
  • Infections: Bacterial, viral, or fungal infections can cause sores and inflammation on the roof of the mouth.
  • Allergies: Allergic reactions to certain foods, medications, or environmental factors can lead to a sore roof of mouth.
  • Chemotherapy and Radiation: These treatments can cause mouth sores as a side effect, including on the roof of the mouth.

Symptoms of a Sore Roof of Mouth

The symptoms of a sore roof of mouth can vary depending on the underlying cause. Common symptoms include:

  • Pain or discomfort in the roof of the mouth
  • Swelling or inflammation
  • Redness or irritation
  • Blisters or ulcers
  • Difficulty eating or drinking
  • Difficulty speaking

Diagnosing the Cause

If you experience a sore roof of mouth, it is important to identify the underlying cause to determine the appropriate treatment. Here are some steps you can take:

  • Examine the area for any visible sores, blisters, or ulcers.
  • Consider any recent changes in your diet, dental care, or medications.
  • Note any other symptoms you may be experiencing, such as fever, swollen lymph nodes, or difficulty swallowing.
  • Consult a healthcare professional if the sore persists for more than a week or if you experience severe pain or difficulty eating or drinking.

Treatment Options

The treatment for a sore roof of mouth will depend on the underlying cause. Here are some common treatment options:

Home Remedies

For minor cases, home remedies can provide relief:

  • Rinse your mouth with warm salt water to reduce inflammation and promote healing.
  • Apply a cold compress to the affected area to numb the pain.
  • Use over-the-counter pain relievers such as ibuprofen or acetaminophen.
  • Avoid spicy, acidic, or hard foods that can irritate the sore.
  • Stay hydrated by drinking plenty of fluids.

Medical Treatments

For more severe or persistent cases, medical treatments may be necessary:

  • Topical anesthetics or pain relievers can be prescribed to numb the area and reduce discomfort.
  • Antibiotics may be prescribed if the sore is caused by a bacterial infection.
  • Antiviral medications can be used to treat cold sores caused by the herpes simplex virus.
  • Antifungal medications can be prescribed if the sore is caused by a fungal infection.
  • Corticosteroids may be used to reduce inflammation and swelling.

Dental Treatments

If the sore is caused by dental issues, such as ill-fitting dentures or braces, dental treatments may be necessary:

  • Adjustments to dentures or braces to reduce irritation.
  • Dental wax can be applied to braces or dentures to protect the roof of the mouth.
  • Regular dental check-ups to monitor and address any issues.

💡 Note: Always consult a healthcare professional before starting any new treatment, especially if you have underlying health conditions or are taking other medications.

Preventing a Sore Roof of Mouth

While not all cases of a sore roof of mouth can be prevented, there are steps you can take to reduce the risk:

  • Practice good oral hygiene by brushing and flossing regularly.
  • Avoid hot, spicy, or acidic foods that can irritate the mouth.
  • Stay hydrated by drinking plenty of fluids.
  • Avoid sharing utensils, toothbrushes, or other personal items to prevent the spread of infections.
  • Regularly inspect your mouth for any signs of irritation or sores.
  • Wear a mouthguard during sports or other activities that could cause injury to the mouth.

When to Seek Medical Attention

While many cases of a sore roof of mouth can be treated at home, there are times when medical attention is necessary. Seek medical help if you experience any of the following:

  • Severe pain or discomfort that does not improve with home remedies.
  • Sores that persist for more than a week.
  • Difficulty eating, drinking, or swallowing.
  • Fever or swollen lymph nodes.
  • Signs of infection, such as pus or a foul odor.

In some cases, a sore roof of mouth can be a symptom of a more serious underlying condition, such as oral cancer. If you notice any unusual changes in your mouth, such as persistent sores, lumps, or discoloration, it is important to consult a healthcare professional for a thorough evaluation.

Oral cancer is a serious condition that can be life-threatening if not detected and treated early. Regular dental check-ups and self-examinations can help detect oral cancer in its early stages, when it is most treatable. If you notice any unusual changes in your mouth, do not hesitate to seek medical attention.

In addition to regular dental check-ups, it is important to maintain good oral hygiene and avoid risk factors for oral cancer, such as tobacco use and excessive alcohol consumption. By taking proactive steps to protect your oral health, you can reduce your risk of developing oral cancer and other serious conditions.

If you experience a sore roof of mouth, it is important to take it seriously and seek medical attention if necessary. By understanding the potential causes, symptoms, and treatment options, you can take steps to alleviate discomfort and prevent future occurrences. With proper care and attention, you can maintain good oral health and enjoy a pain-free life.

In summary, a sore roof of mouth can be caused by a variety of factors, ranging from minor irritations to more serious underlying health issues. By understanding the potential causes, symptoms, and treatment options, you can take steps to alleviate discomfort and prevent future occurrences. Regular dental check-ups, good oral hygiene, and prompt medical attention can help maintain good oral health and prevent serious conditions such as oral cancer. If you experience a sore roof of mouth, do not hesitate to seek medical attention if necessary, and take proactive steps to protect your oral health.

Related Terms:

  • roof of mouth numbing feeling
  • sore roof of mouth nhs
  • severe mouth sores pictures
  • roof of mouth feels irritated
  • mouth sores causes and pictures
  • sore inside roof of mouth
Facebook Twitter WA
Ashley
Ashley
Author
Passionate content creator delivering insightful articles on technology, lifestyle, and more. Dedicated to bringing quality content that matters.
You Might Like