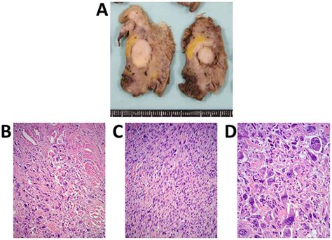
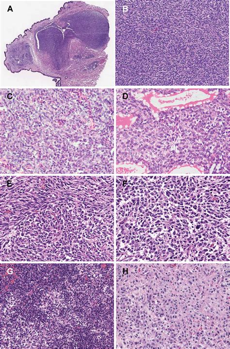
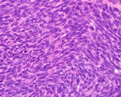
Spindle Cell Sarcoma

Spindle Cell Sarcoma is a rare and aggressive type of cancer that originates in the connective or supportive tissue of the body. This type of sarcoma is characterized by the presence of spindle-shaped cells, which are elongated and tapered at both ends. Understanding Spindle Cell Sarcoma, its causes, symptoms, diagnosis, and treatment options is crucial for patients and healthcare providers alike.

Understanding Spindle Cell Sarcoma

Spindle Cell Sarcoma is a subtype of soft tissue sarcoma, a group of cancers that develop in the body's soft tissues, such as muscles, tendons, fat, blood vessels, and nerves. These sarcomas can occur anywhere in the body but are most commonly found in the extremities, trunk, and retroperitoneum (the area behind the abdominal cavity).

Spindle Cell Sarcoma is classified based on the specific type of tissue it affects. Some common subtypes include:

  • Fibrosarcoma: Affects fibrous tissue.
  • Leiomyosarcoma: Affects smooth muscle tissue.
  • Rhabdomyosarcoma: Affects skeletal muscle tissue.
  • Synovial sarcoma: Affects the lining of joints.

Causes and Risk Factors

The exact causes of Spindle Cell Sarcoma are not fully understood, but several risk factors have been identified. These include:

  • Genetic mutations: Certain genetic mutations, such as those in the TP53 and RB1 genes, have been linked to an increased risk of developing Spindle Cell Sarcoma.
  • Radiation exposure: Previous exposure to radiation therapy for other cancers can increase the risk of developing Spindle Cell Sarcoma.
  • Chemical exposure: Exposure to certain chemicals, such as herbicides and pesticides, has been associated with an increased risk of sarcoma.
  • Chronic lymphoedema: Long-term swelling of the lymph nodes can increase the risk of developing sarcoma.

Symptoms of Spindle Cell Sarcoma

The symptoms of Spindle Cell Sarcoma can vary depending on the location and size of the tumor. Common symptoms include:

  • A lump or swelling that grows over time.
  • Pain or tenderness in the affected area.
  • Limited range of motion or difficulty moving the affected limb.
  • Fatigue and weakness.
  • Unexplained weight loss.

If you experience any of these symptoms, it is important to consult a healthcare provider for a thorough evaluation.

Diagnosis of Spindle Cell Sarcoma

Diagnosing Spindle Cell Sarcoma involves a combination of imaging tests, biopsies, and laboratory tests. The diagnostic process typically includes the following steps:

  • Imaging tests: X-rays, CT scans, MRI, and PET scans can help locate the tumor and determine its size and extent.
  • Biopsy: A sample of the tumor tissue is removed and examined under a microscope to confirm the diagnosis and determine the specific subtype of Spindle Cell Sarcoma.
  • Laboratory tests: Blood tests and other laboratory tests may be performed to assess overall health and rule out other conditions.

Once a diagnosis of Spindle Cell Sarcoma is confirmed, additional tests may be performed to determine the stage of the cancer and develop an appropriate treatment plan.

Staging of Spindle Cell Sarcoma

The staging of Spindle Cell Sarcoma is based on the size and location of the tumor, as well as the presence of metastasis (spread to other parts of the body). The most commonly used staging system for soft tissue sarcomas is the American Joint Committee on Cancer (AJCC) staging system. The stages are as follows:

Stage Description
Stage I Low-grade tumor, less than 5 cm in size, no metastasis.
Stage II Low-grade tumor, 5 cm or larger in size, no metastasis.
Stage III High-grade tumor, any size, no metastasis.
Stage IV Any tumor size, with metastasis to distant sites.

Accurate staging is crucial for determining the most effective treatment plan and predicting the prognosis.

Treatment Options for Spindle Cell Sarcoma

The treatment of Spindle Cell Sarcoma depends on several factors, including the stage of the cancer, the location and size of the tumor, and the patient's overall health. Common treatment options include:

Surgery

Surgery is often the primary treatment for Spindle Cell Sarcoma. The goal of surgery is to remove the entire tumor with a margin of healthy tissue to ensure complete removal. The type of surgery performed depends on the location and size of the tumor. In some cases, limb-sparing surgery may be possible, while in others, amputation may be necessary.

Radiation Therapy

Radiation therapy uses high-energy beams to kill cancer cells. It can be used before surgery to shrink the tumor, after surgery to destroy any remaining cancer cells, or as the primary treatment for inoperable tumors. Radiation therapy may be administered externally or internally, depending on the specific situation.

Chemotherapy

Chemotherapy involves the use of drugs to kill cancer cells. It can be used before surgery to shrink the tumor, after surgery to destroy any remaining cancer cells, or as the primary treatment for advanced or metastatic Spindle Cell Sarcoma. Chemotherapy may be administered intravenously or orally, and the specific drugs and dosage will depend on the individual patient's needs.

Targeted Therapy

Targeted therapy uses drugs that specifically target the molecular changes in cancer cells. This type of therapy is often used in combination with other treatments, such as chemotherapy or radiation therapy. Targeted therapy may be particularly effective for patients with specific genetic mutations associated with Spindle Cell Sarcoma.

Immunotherapy

Immunotherapy uses the body's immune system to fight cancer. This type of therapy is still being researched for the treatment of Spindle Cell Sarcoma, but it shows promise for certain subtypes of the disease. Immunotherapy may be used in combination with other treatments, such as chemotherapy or radiation therapy.

📝 Note: The choice of treatment will depend on the individual patient's needs and the specific characteristics of the tumor. A multidisciplinary team of healthcare providers, including surgeons, oncologists, and radiation therapists, will work together to develop the most effective treatment plan.

Prognosis and Follow-Up Care

The prognosis for patients with Spindle Cell Sarcoma varies depending on several factors, including the stage of the cancer, the location and size of the tumor, and the patient's overall health. Early detection and treatment generally result in a better prognosis. Regular follow-up care is essential to monitor for recurrence and manage any long-term side effects of treatment.

Follow-up care may include:

  • Regular physical examinations and imaging tests to monitor for recurrence.
  • Blood tests to assess overall health and detect any signs of recurrence.
  • Supportive care to manage symptoms and side effects of treatment.
  • Rehabilitation services to help patients regain strength and mobility after treatment.

Patients should work closely with their healthcare team to develop a personalized follow-up plan that meets their individual needs.

Spindle Cell Sarcoma is a complex and challenging disease, but with early detection, appropriate treatment, and ongoing follow-up care, many patients can achieve positive outcomes. It is important for patients and their families to stay informed about the latest research and treatment options, and to work closely with their healthcare team to develop a comprehensive care plan.

Spindle Cell Sarcoma is a rare and aggressive type of cancer that requires specialized care and treatment. By understanding the causes, symptoms, diagnosis, and treatment options for this disease, patients and healthcare providers can work together to improve outcomes and quality of life. Ongoing research and advancements in treatment are essential for continuing to make progress in the fight against Spindle Cell Sarcoma.

Related Terms:

  • pictures of spindle cell sarcoma
  • treatment for spindle cell sarcoma
  • spindle cell sarcoma grade 3
  • what causes spindle cell sarcoma
  • spindle cell sarcoma management
  • unclassified spindle cell sarcoma
Facebook Twitter WA
Ashley
Ashley
Author
Passionate content creator delivering insightful articles on technology, lifestyle, and more. Dedicated to bringing quality content that matters.
You Might Like