Stress Fracture Ankle

Ankle injuries are a common occurrence, especially among athletes and individuals who lead active lifestyles. One of the more serious types of ankle injuries is a stress fracture ankle. This condition can be debilitating and requires careful management to ensure proper healing. Understanding the causes, symptoms, diagnosis, and treatment options for a stress fracture ankle is crucial for anyone dealing with this injury.

Understanding Stress Fractures

A stress fracture is a small crack in a bone caused by repetitive force, often from overuse. Unlike acute fractures, which result from a single traumatic event, stress fractures develop over time. The ankle is particularly susceptible to stress fractures due to the high impact and repetitive motions involved in activities like running, jumping, and dancing.

Causes of Stress Fracture Ankle

Several factors can contribute to the development of a stress fracture ankle:

  • Overuse: Engaging in high-impact activities without adequate rest can lead to stress fractures.
  • Inadequate Footwear: Wearing shoes that do not provide proper support or cushioning can increase the risk.
  • Poor Biomechanics: Issues such as flat feet or high arches can alter the distribution of weight and force on the ankle.
  • Nutritional Deficiencies: Insufficient intake of calcium and vitamin D can weaken bones, making them more prone to fractures.
  • Sudden Increase in Activity: Rapidly increasing the intensity or duration of physical activity can overwhelm the bones' ability to adapt.

Symptoms of Stress Fracture Ankle

Recognizing the symptoms of a stress fracture ankle is essential for early intervention. Common symptoms include:

  • Pain: Persistent pain in the ankle that worsens with activity and improves with rest.
  • Swelling: Mild swelling around the affected area.
  • Tenderness: Increased sensitivity to touch or pressure on the ankle.
  • Bruising: In some cases, bruising may be present.

It is important to note that symptoms may not be immediately apparent and can develop gradually over time.

Diagnosing a Stress Fracture Ankle

Diagnosing a stress fracture ankle typically involves a combination of physical examination and imaging tests. A healthcare provider will:

  • Review the patient's medical history and symptoms.
  • Conduct a physical examination to assess the affected area.
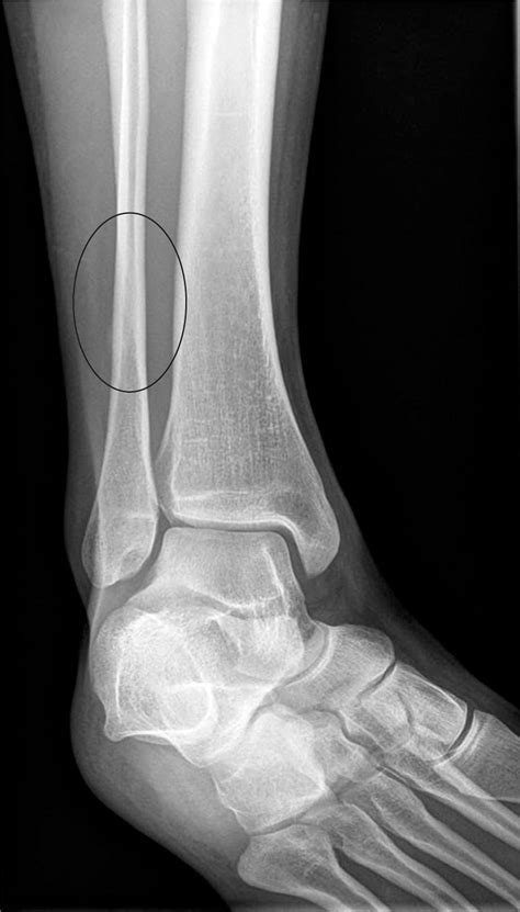
  • Order imaging tests such as X-rays, MRI, or bone scans to confirm the diagnosis.

Imaging tests are crucial because stress fractures may not be visible on initial X-rays. An MRI or bone scan can provide a more detailed view of the bone and surrounding tissues.

Treatment Options for Stress Fracture Ankle

The treatment for a stress fracture ankle focuses on reducing pain, promoting healing, and preventing further injury. Common treatment options include:

  • Rest: Avoiding activities that put stress on the ankle, such as running or jumping.
  • Ice: Applying ice to the affected area to reduce swelling and pain.
  • Compression: Using compression bandages or wraps to support the ankle and reduce swelling.
  • Elevation: Keeping the ankle elevated to minimize swelling.
  • Pain Medication: Over-the-counter pain relievers such as ibuprofen or acetaminophen to manage pain.
  • Immobilization: In severe cases, a cast or boot may be used to immobilize the ankle and promote healing.
  • Physical Therapy: Exercises to strengthen the muscles and improve flexibility around the ankle.

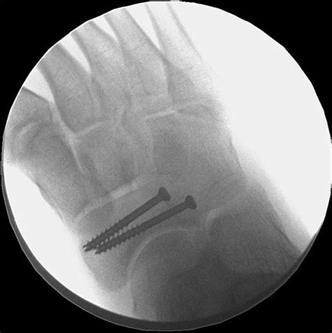
In some cases, surgery may be required to stabilize the fracture and promote healing. This is typically reserved for severe or non-healing fractures.

Preventing Stress Fracture Ankle

Preventing a stress fracture ankle involves a combination of proper training, adequate rest, and good nutrition. Here are some tips to help prevent this injury:

  • Gradual Increase in Activity: Gradually increase the intensity and duration of physical activities to allow the body to adapt.
  • Proper Footwear: Wear shoes that provide adequate support and cushioning.
  • Cross-Training: Incorporate low-impact activities such as swimming or cycling to reduce the risk of overuse injuries.
  • Nutrition: Ensure a balanced diet rich in calcium and vitamin D to support bone health.
  • Strength Training: Engage in strength training exercises to improve muscle strength and stability around the ankle.

By following these preventive measures, individuals can significantly reduce their risk of developing a stress fracture ankle.

📝 Note: It is essential to consult with a healthcare provider before starting any new exercise or nutrition program, especially if you have a history of injuries or medical conditions.

Recovery and Rehabilitation

Recovery from a stress fracture ankle can take several weeks to months, depending on the severity of the injury. The rehabilitation process typically involves several stages:

  • Initial Phase: Focus on reducing pain and inflammation through rest, ice, compression, and elevation.
  • Intermediate Phase: Gradually introduce gentle range-of-motion exercises and light weight-bearing activities.
  • Advanced Phase: Progress to more challenging exercises, including strength training and balance exercises.
  • Return to Activity: Slowly return to normal activities and sports, ensuring that the ankle is fully healed and strong enough to handle the demands.

Physical therapy plays a crucial role in the rehabilitation process. A physical therapist can design a personalized exercise program to help restore strength, flexibility, and function to the ankle.

Common Mistakes to Avoid

When dealing with a stress fracture ankle, it is important to avoid common mistakes that can hinder recovery:

  • Ignoring Symptoms: Continuing to engage in activities that cause pain can delay healing and worsen the injury.
  • Inadequate Rest: Not allowing enough time for the bone to heal can lead to chronic pain and further complications.
  • Poor Nutrition: Insufficient intake of nutrients essential for bone health can slow down the healing process.
  • Inappropriate Footwear: Wearing shoes that do not provide proper support can exacerbate the injury.

By avoiding these mistakes, individuals can ensure a smoother and more effective recovery from a stress fracture ankle.

📝 Note: Always follow the advice of your healthcare provider regarding the management and treatment of a stress fracture ankle.

Long-Term Management

After recovering from a stress fracture ankle, it is important to take steps to prevent future injuries. Long-term management strategies include:

  • Regular Exercise: Maintain a consistent exercise routine that includes strength training, flexibility exercises, and low-impact activities.
  • Proper Nutrition: Ensure a balanced diet that supports bone health.
  • Adequate Rest: Allow for sufficient rest and recovery time between workouts.
  • Appropriate Footwear: Wear shoes that provide adequate support and cushioning.
  • Regular Check-ups: Schedule regular check-ups with a healthcare provider to monitor bone health and address any concerns.

By implementing these long-term management strategies, individuals can reduce the risk of future stress fractures and maintain overall bone health.

In addition to the above strategies, it is important to be aware of the signs of a stress fracture ankle and seek medical attention promptly if symptoms arise. Early intervention can prevent the injury from worsening and ensure a faster recovery.

For individuals who have experienced a stress fracture ankle, it is crucial to follow a structured rehabilitation program and adhere to the advice of healthcare providers. By taking a proactive approach to recovery and prevention, individuals can minimize the impact of this injury and return to their active lifestyles with confidence.

In summary, a stress fracture ankle is a serious injury that requires careful management and treatment. Understanding the causes, symptoms, diagnosis, and treatment options is essential for effective recovery. By following preventive measures, avoiding common mistakes, and implementing long-term management strategies, individuals can reduce the risk of future injuries and maintain overall bone health.

Related Terms:

  • stress fracture ankle signs
  • stress fracture ankle swelling
  • stress fracture ankle boot
  • treatment for ankle stress fracture
  • stress fracture ankle icd 10
  • stress fracture ankle pictures
Facebook Twitter WA
Ashley
Ashley
Author
Passionate content creator delivering insightful articles on technology, lifestyle, and more. Dedicated to bringing quality content that matters.
You Might Like