Tr4 Thyroid Nodule

Thyroid nodules are common, with estimates suggesting that up to 50% of the population may have one or more nodules by the age of 60. While most thyroid nodules are benign, it is crucial to identify and manage those that may be malignant. One such classification is the Tr4 Thyroid Nodule, which refers to a specific category of thyroid nodules based on their cytological features. Understanding Tr4 Thyroid Nodules is essential for both healthcare providers and patients to ensure appropriate diagnosis and treatment.

Understanding Thyroid Nodules

Thyroid nodules are lumps that form within the thyroid gland, a butterfly-shaped organ located at the base of the neck. These nodules can be solid or fluid-filled and can vary in size. Most thyroid nodules are benign, but a small percentage can be cancerous. The classification of thyroid nodules is crucial for determining the appropriate course of action.

Classification of Thyroid Nodules

Thyroid nodules are often classified based on their cytological features, which are determined through fine-needle aspiration (FNA) biopsy. The Bethesda System for Reporting Thyroid Cytopathology is widely used to categorize thyroid nodules into six categories:

  • Non-diagnostic or unsatisfactory (Bethesda I)
  • Benign (Bethesda II)
  • Atypia of undetermined significance or follicular lesion of undetermined significance (AUS/FLUS) (Bethesda III)
  • Follicular neoplasm or suspicious for a follicular neoplasm (Bethesda IV)
  • Suspicious for malignancy (Bethesda V)
  • Malignant (Bethesda VI)

The Tr4 Thyroid Nodule falls under the Bethesda IV category, which indicates a follicular neoplasm or a lesion suspicious for a follicular neoplasm. This category requires further evaluation to determine if the nodule is benign or malignant.

Diagnosing Tr4 Thyroid Nodules

Diagnosing a Tr4 Thyroid Nodule involves several steps, including a thorough medical history, physical examination, and diagnostic tests. Here is a detailed overview of the diagnostic process:

Medical History and Physical Examination

The diagnostic process begins with a comprehensive medical history and physical examination. The healthcare provider will ask about symptoms, family history of thyroid disease, and any previous thyroid issues. During the physical examination, the provider will palpate the thyroid gland to assess the size, shape, and consistency of the nodule.

Imaging Studies

Imaging studies are essential for visualizing the thyroid nodule and determining its characteristics. Common imaging techniques include:

  • Ultrasound: This is the primary imaging modality used to evaluate thyroid nodules. It provides detailed images of the nodule’s size, shape, and internal structure.
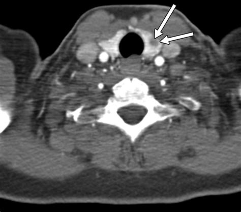
  • Computed Tomography (CT) Scan: CT scans can provide additional information about the nodule’s location and any potential invasion into surrounding tissues.
  • Magnetic Resonance Imaging (MRI): MRI can offer detailed images of the thyroid gland and surrounding structures, helping to assess the extent of the nodule.

Fine-Needle Aspiration (FNA) Biopsy

FNA biopsy is a crucial step in diagnosing Tr4 Thyroid Nodules. During this procedure, a thin needle is inserted into the nodule to collect a small sample of cells. The sample is then examined under a microscope to determine the cytological features of the nodule. The results of the FNA biopsy will classify the nodule according to the Bethesda System.

Molecular Testing

In some cases, molecular testing may be recommended to further evaluate the Tr4 Thyroid Nodule. Molecular tests can identify specific genetic mutations or alterations that are associated with thyroid cancer. These tests can provide additional information to help guide treatment decisions.

Managing Tr4 Thyroid Nodules

The management of Tr4 Thyroid Nodules depends on various factors, including the size of the nodule, the patient’s symptoms, and the results of diagnostic tests. Here are the key management strategies:

Surveillance

For small, asymptomatic Tr4 Thyroid Nodules, surveillance may be recommended. This involves regular follow-up appointments and imaging studies to monitor the nodule for any changes in size or characteristics. Surveillance is typically recommended for nodules that are less than 1 cm in size and do not show suspicious features on ultrasound.

Surgical Intervention

Surgical intervention may be recommended for larger Tr4 Thyroid Nodules or those that show suspicious features on imaging studies. The most common surgical procedure is a thyroid lobectomy, which involves the removal of the affected lobe of the thyroid gland. In some cases, a total thyroidectomy may be performed, especially if there is a high suspicion of malignancy.

Medical Therapy

Medical therapy is generally not the first-line treatment for Tr4 Thyroid Nodules. However, in some cases, medications such as levothyroxine may be prescribed to suppress thyroid-stimulating hormone (TSH) levels, which can help reduce the size of the nodule. This approach is typically used in conjunction with surveillance or surgical intervention.

Risk Factors and Prevention

Understanding the risk factors associated with Tr4 Thyroid Nodules can help in prevention and early detection. Some of the key risk factors include:

  • Family History: A family history of thyroid disease or thyroid cancer increases the risk of developing thyroid nodules.
  • Radiation Exposure: Exposure to radiation, especially during childhood, can increase the risk of thyroid nodules and thyroid cancer.
  • Iodine Deficiency: Iodine deficiency can lead to the development of thyroid nodules and goiters.
  • Age and Gender: Thyroid nodules are more common in women and in individuals over the age of 50.

Preventive measures include maintaining a balanced diet rich in iodine, avoiding unnecessary radiation exposure, and undergoing regular thyroid screenings, especially for individuals with a family history of thyroid disease.

Living with Tr4 Thyroid Nodules

Living with a Tr4 Thyroid Nodule can be challenging, but with proper management and support, individuals can lead healthy and fulfilling lives. Here are some tips for managing life with a Tr4 Thyroid Nodule:

  • Regular Follow-Ups: Attend all scheduled follow-up appointments and imaging studies to monitor the nodule.
  • Healthy Lifestyle: Maintain a healthy lifestyle with a balanced diet, regular exercise, and adequate sleep.
  • Support System: Seek support from family, friends, and healthcare providers to cope with the emotional and physical challenges.
  • Education: Educate yourself about thyroid nodules and their management to make informed decisions about your health.

📝 Note: It is essential to work closely with your healthcare provider to develop a personalized management plan tailored to your specific needs and circumstances.

Future Directions in Tr4 Thyroid Nodule Management

The management of Tr4 Thyroid Nodules is an evolving field, with ongoing research and advancements in diagnostic and treatment options. Some of the future directions in Tr4 Thyroid Nodule management include:

  • Advanced Imaging Techniques: The development of advanced imaging techniques, such as contrast-enhanced ultrasound and molecular imaging, can provide more detailed information about thyroid nodules.
  • Molecular Markers: The identification of new molecular markers can help improve the accuracy of diagnosis and guide treatment decisions.
  • Minimally Invasive Procedures: The development of minimally invasive procedures, such as radiofrequency ablation and ethanol ablation, can offer alternative treatment options for Tr4 Thyroid Nodules.

These advancements hold promise for improving the diagnosis and management of Tr4 Thyroid Nodules, ultimately leading to better outcomes for patients.

Thyroid nodules, including Tr4 Thyroid Nodules, are a common condition that requires careful evaluation and management. Understanding the classification, diagnosis, and management of Tr4 Thyroid Nodules is crucial for healthcare providers and patients alike. By staying informed and working closely with healthcare providers, individuals can effectively manage Tr4 Thyroid Nodules and maintain their overall health and well-being.

Related Terms:

  • tr4 thyroid nodule treatment
  • ti rads 4 thyroid nodule
  • hypoechoic nodule thyroid
  • tr 4 nodule thyroid chart
  • tr4 thyroid nodule fna
  • tr2 thyroid nodule
Facebook Twitter WA
Ashley
Ashley
Author
Passionate content creator delivering insightful articles on technology, lifestyle, and more. Dedicated to bringing quality content that matters.
You Might Like