Venous Sinus Stenosis

Venous sinus stenosis is a condition that affects the venous sinuses, which are the channels that drain blood from the brain. This condition can lead to a variety of symptoms and complications, making it a significant area of study in the medical field. Understanding venous sinus stenosis, its causes, symptoms, diagnosis, and treatment options is crucial for both healthcare professionals and patients.

Understanding Venous Sinus Stenosis

Venous sinus stenosis refers to the narrowing of the venous sinuses, which are the veins that drain blood from the brain back into the heart. This narrowing can disrupt the normal flow of blood, leading to increased pressure within the brain. The condition can be caused by various factors, including inflammation, trauma, or congenital abnormalities.

Venous sinus stenosis can be classified into two main types:

  • Primary Venous Sinus Stenosis: This type occurs due to congenital abnormalities or genetic factors.
  • Secondary Venous Sinus Stenosis: This type develops as a result of other conditions, such as infections, tumors, or trauma.

Causes of Venous Sinus Stenosis

The causes of venous sinus stenosis can be diverse and multifaceted. Some of the most common causes include:

  • Inflammation: Chronic inflammation in the venous sinuses can lead to narrowing over time.
  • Trauma: Head injuries or other forms of trauma can damage the venous sinuses, leading to stenosis.
  • Infections: Infections such as meningitis or encephalitis can cause inflammation and narrowing of the venous sinuses.
  • Tumors: Brain tumors or other growths can compress the venous sinuses, leading to stenosis.
  • Congenital Abnormalities: Some individuals may be born with narrow or malformed venous sinuses.

Symptoms of Venous Sinus Stenosis

The symptoms of venous sinus stenosis can vary widely depending on the severity and location of the narrowing. Common symptoms include:

  • Headaches: Persistent or recurring headaches are often the first sign of venous sinus stenosis.
  • Dizziness: Feelings of dizziness or lightheadedness can occur due to disrupted blood flow.
  • Vision Problems: Blurred vision or double vision may be experienced.
  • Seizures: In severe cases, seizures can occur due to increased pressure in the brain.
  • Cognitive Impairment: Difficulty with memory, concentration, or other cognitive functions.

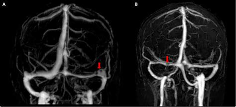
Diagnosing Venous Sinus Stenosis

Diagnosing venous sinus stenosis involves a combination of medical history, physical examination, and diagnostic tests. The diagnostic process typically includes:

  • Medical History: A detailed medical history is taken to understand the patient's symptoms and any underlying conditions.
  • Physical Examination: A thorough physical examination is conducted to assess neurological function and identify any signs of increased intracranial pressure.
  • Imaging Tests: Various imaging tests are used to visualize the venous sinuses and detect any narrowing. These tests may include:
Imaging Test Description
Magnetic Resonance Venography (MRV) Uses magnetic resonance imaging to visualize the venous sinuses and detect any abnormalities.
Computed Tomography Venography (CTV) Uses computed tomography to create detailed images of the venous sinuses.
Digital Subtraction Angiography (DSA) Provides a detailed view of the blood vessels and can help identify the exact location and extent of the stenosis.

These imaging tests are crucial for confirming the diagnosis and planning appropriate treatment.

📝 Note: Early diagnosis and intervention can significantly improve outcomes for patients with venous sinus stenosis.

Treatment Options for Venous Sinus Stenosis

The treatment of venous sinus stenosis depends on the underlying cause, the severity of the symptoms, and the patient's overall health. Treatment options may include:

  • Medications: Medications such as anti-inflammatory drugs, anticoagulants, or pain relievers may be prescribed to manage symptoms and reduce inflammation.
  • Endovascular Procedures: Minimally invasive procedures such as angioplasty or stenting can be used to widen the narrowed venous sinuses and improve blood flow.
  • Surgery: In severe cases, surgical intervention may be necessary to repair or bypass the narrowed venous sinuses.
  • Lifestyle Changes: Lifestyle modifications, such as avoiding activities that increase intracranial pressure, can help manage symptoms.

Endovascular Procedures for Venous Sinus Stenosis

Endovascular procedures are minimally invasive treatments that can effectively manage venous sinus stenosis. These procedures involve inserting a catheter into the blood vessels to access the narrowed venous sinuses. The most common endovascular procedures for venous sinus stenosis include:

  • Angioplasty: This procedure involves using a balloon catheter to widen the narrowed venous sinuses. The balloon is inflated to stretch the narrowed area, improving blood flow.
  • Stenting: After angioplasty, a stent may be placed in the venous sinus to keep it open and prevent re-narrowing. Stents are small, mesh-like tubes that provide structural support to the blood vessel.

These procedures are typically performed under local anesthesia and have a shorter recovery time compared to traditional surgery.

📝 Note: Endovascular procedures are generally safe, but like any medical intervention, they carry some risks. Patients should discuss the potential benefits and risks with their healthcare provider.

Surgical Treatment for Venous Sinus Stenosis

In cases where endovascular procedures are not suitable or have failed, surgical intervention may be necessary. Surgical options for venous sinus stenosis include:

  • Venous Sinus Reconstruction: This involves surgically repairing the narrowed venous sinuses to restore normal blood flow.
  • Venous Sinus Bypass: In severe cases, a bypass procedure may be performed to reroute blood flow around the narrowed venous sinuses.

Surgical treatment for venous sinus stenosis is more invasive and requires a longer recovery period compared to endovascular procedures. However, it can be effective in cases where other treatments have failed.

📝 Note: Surgical treatment should be considered only after careful evaluation by a multidisciplinary team of healthcare professionals.

Living with Venous Sinus Stenosis

Living with venous sinus stenosis can be challenging, but with proper management and support, patients can lead fulfilling lives. Key aspects of managing venous sinus stenosis include:

  • Regular Follow-Ups: Regular follow-ups with healthcare providers are essential to monitor the condition and adjust treatment as needed.
  • Medication Management: Adhering to prescribed medications and attending regular check-ups can help manage symptoms and prevent complications.
  • Lifestyle Modifications: Making lifestyle changes, such as avoiding activities that increase intracranial pressure, can help manage symptoms and improve quality of life.
  • Support Groups: Joining support groups can provide emotional support and practical advice from others who are living with venous sinus stenosis.

By taking an active role in their healthcare and following the advice of their healthcare providers, patients can effectively manage venous sinus stenosis and improve their overall well-being.

Venous sinus stenosis is a complex condition that requires careful diagnosis and management. Understanding the causes, symptoms, and treatment options for venous sinus stenosis is essential for both healthcare professionals and patients. With appropriate treatment and support, patients can effectively manage this condition and lead fulfilling lives.

Related Terms:

  • venous sinus stenosis symptoms
  • venous sinus stenosis icd 10
  • venous sinus stenosis life expectancy
  • venous sinus stenosis tinnitus
  • venous sinus stenosis surgery
  • is venous sinus stenosis dangerous
Facebook Twitter WA
Ashley
Ashley
Author
Passionate content creator delivering insightful articles on technology, lifestyle, and more. Dedicated to bringing quality content that matters.
You Might Like