What's A Bone Spur

Bone spurs, also known as osteophytes, are bony projections that develop along bone edges. These growths can occur anywhere in the skeleton but are most commonly found in the joints. Understanding what's a bone spur, its causes, symptoms, and treatment options is crucial for managing this condition effectively.

What’s A Bone Spur?

Bone spurs are essentially extra bone growths that form along bone edges. They can develop in various parts of the body, including the spine, shoulders, hips, knees, and feet. These spurs are the body’s response to injury, stress, or pressure on the bone. While bone spurs themselves are not always painful, they can cause discomfort and other symptoms when they press on nerves, tendons, or other soft tissues.

Causes of Bone Spurs

Bone spurs can develop due to several reasons, including:

  • Joint Damage: Injuries or wear and tear from conditions like osteoarthritis can lead to bone spurs.
  • Inflammation: Conditions such as tendinitis or bursitis can cause inflammation that triggers bone spur formation.
  • Age-Related Changes: As people age, the body’s ability to repair and maintain bone tissue decreases, leading to the development of bone spurs.
  • Genetic Factors: Some individuals may be genetically predisposed to developing bone spurs.
  • Overuse or Repetitive Stress: Activities that involve repetitive motions or excessive stress on joints can contribute to bone spur formation.

Symptoms of Bone Spurs

The symptoms of bone spurs can vary depending on their location and the structures they affect. Common symptoms include:

  • Pain: Persistent or intermittent pain in the affected area.
  • Swelling: Inflammation and swelling around the joint.
  • Stiffness: Reduced range of motion and stiffness in the joint.
  • Numbness or Tingling: Nerve compression can cause numbness, tingling, or weakness in the affected area.
  • Difficulty Moving: Limited mobility and difficulty performing daily activities.

Diagnosing Bone Spurs

Diagnosing bone spurs typically involves a combination of medical history, physical examination, and imaging tests. Common diagnostic methods include:

  • X-Rays: X-rays can reveal the presence of bone spurs and provide information about their size and location.
  • MRI or CT Scans: These imaging tests offer detailed views of the bone and surrounding tissues, helping to identify the extent of the bone spur and its impact on nearby structures.
  • Bone Scan: A bone scan can detect areas of increased bone activity, which may indicate the presence of bone spurs.

Treatment Options for Bone Spurs

Treatment for bone spurs depends on the severity of symptoms and the location of the spurs. Common treatment options include:

  • Medications: Over-the-counter pain relievers such as ibuprofen or naproxen can help manage pain and inflammation. Prescription medications may be necessary for more severe cases.
  • Physical Therapy: Exercises and stretches can improve flexibility, strength, and range of motion in the affected joint.
  • Corticosteroid Injections: Injections of corticosteroids can reduce inflammation and pain in the affected area.
  • Lifestyle Changes: Modifying activities to avoid stress on the affected joint, maintaining a healthy weight, and using assistive devices can help manage symptoms.
  • Surgery: In severe cases, surgical removal of the bone spur may be necessary to alleviate symptoms and improve joint function.

Preventing Bone Spurs

While it may not be possible to prevent bone spurs entirely, certain measures can help reduce the risk of developing them:

  • Maintain a Healthy Weight: Excess weight puts additional stress on joints, increasing the risk of bone spur formation.
  • Exercise Regularly: Regular physical activity helps maintain joint health and flexibility.
  • Wear Proper Footwear: Supportive shoes can reduce stress on the feet and ankles.
  • Avoid Repetitive Stress: Modify activities to avoid repetitive motions that can strain joints.
  • Manage Chronic Conditions: Proper management of conditions like osteoarthritis and tendinitis can help prevent bone spur formation.

Bone Spurs in Specific Areas

Bone spurs can occur in various parts of the body, each with its own set of symptoms and treatment considerations.

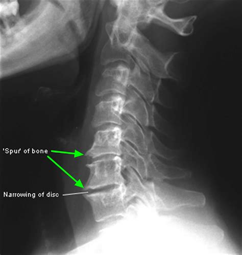
Bone Spurs in the Spine

Spinal bone spurs, often associated with spinal stenosis or degenerative disc disease, can cause pain, numbness, and weakness in the back, neck, arms, or legs. Treatment options include medications, physical therapy, and in severe cases, surgery to remove the spurs and decompress the spinal cord or nerves.

Bone Spurs in the Shoulder

Shoulder bone spurs can develop due to conditions like rotator cuff tendinitis or impingement syndrome. Symptoms may include pain, stiffness, and limited range of motion. Treatment typically involves rest, ice, physical therapy, and medications. In some cases, surgery may be required to remove the spurs and repair damaged tissues.

Bone Spurs in the Hip

Hip bone spurs can result from conditions like osteoarthritis or avascular necrosis. Symptoms may include pain, stiffness, and difficulty walking. Treatment options include medications, physical therapy, and in severe cases, hip replacement surgery.

Bone Spurs in the Knee

Knee bone spurs are often associated with osteoarthritis or other degenerative conditions. Symptoms may include pain, swelling, and limited mobility. Treatment typically involves medications, physical therapy, and lifestyle modifications. In severe cases, knee replacement surgery may be necessary.

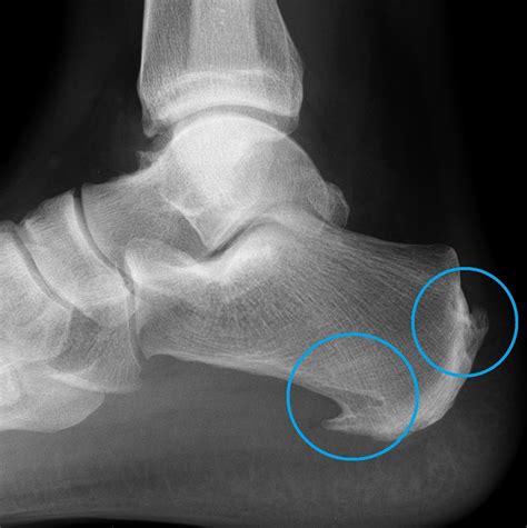
Bone Spurs in the Foot

Foot bone spurs, particularly in the heel, can cause significant pain and discomfort. Plantar fasciitis is a common cause of heel spurs. Treatment options include rest, ice, orthotics, physical therapy, and in some cases, surgery to remove the spurs.

Living with Bone Spurs

Living with bone spurs can be challenging, but with the right management strategies, many individuals can effectively manage their symptoms and maintain a good quality of life. Key strategies include:

  • Pain Management: Use medications, ice, and heat therapy to manage pain and inflammation.
  • Physical Therapy: Engage in regular physical therapy exercises to improve flexibility and strength.
  • Lifestyle Modifications: Make adjustments to daily activities to avoid stress on the affected joint.
  • Regular Check-ups: Schedule regular appointments with healthcare providers to monitor the condition and adjust treatment as needed.

📝 Note: It's important to consult with a healthcare provider to develop a personalized treatment plan tailored to your specific needs and condition.

Bone spurs are a common condition that can affect various parts of the body. Understanding what’s a bone spur, its causes, symptoms, and treatment options is essential for effective management. By taking proactive steps to manage symptoms and prevent further complications, individuals can maintain a good quality of life despite the presence of bone spurs.

Related Terms:

  • bone spur example
  • how painful are bone spurs
  • medical name for bone spur
  • reasons for bone spurs
  • how common are bone spurs
  • bone spurs signs and symptoms
Facebook Twitter WA
Ashley
Ashley
Author
Passionate content creator delivering insightful articles on technology, lifestyle, and more. Dedicated to bringing quality content that matters.
You Might Like