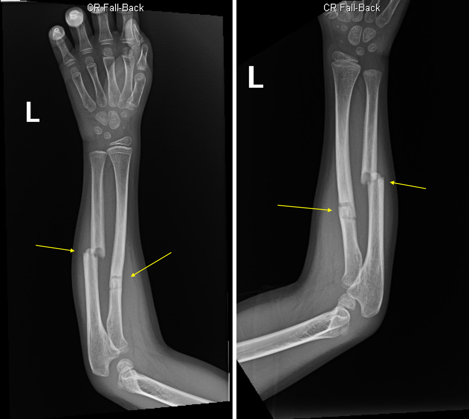
Greenstick Fractures of the mid- Radial and Ulnar Diaphysis with Volar ...
Art

Greenstick Fractures of the mid- Radial and Ulnar Diaphysis with Volar ...

1815 × 1622px May 12, 2025 Ashley
Download

Understanding the distinction between a fracture and a break is crucial for anyone dealing with bone injuries. While the terms are often used interchangeably, they have specific medical meanings that can affect diagnosis and treatment. This post delves into the differences, causes, symptoms, and treatment options for both fractures and breaks, providing a comprehensive guide to help you navigate these injuries effectively.

Understanding Fractures

A fracture refers to a medical condition in which a bone is cracked or broken. It is important to note that a fracture can vary in severity, from a simple crack to a complete break. Fractures can occur due to various reasons, including trauma, overuse, or underlying medical conditions that weaken the bones.

Types of Fractures

Fractures are classified based on their pattern and severity. Some common types include:

  • Closed Fracture: The bone breaks but does not puncture the skin.
  • Open Fracture: The bone breaks and punctures the skin, increasing the risk of infection.
  • Comminuted Fracture: The bone shatters into multiple pieces.
  • Greenstick Fracture: The bone bends and cracks, but does not break completely. This type is common in children.
  • Stress Fracture: A small crack in the bone caused by repetitive stress or overuse.

Causes of Fractures

Fractures can result from various causes, including:

  • Trauma from accidents, falls, or sports injuries.
  • Overuse or repetitive stress, common in athletes.
  • Medical conditions that weaken the bones, such as osteoporosis.

Symptoms of Fractures

The symptoms of a fracture can vary depending on the location and severity of the injury. Common symptoms include:

  • Pain, especially when moving the affected area.
  • Swelling and bruising.
  • Deformity or misalignment of the bone.
  • Loss of function or mobility.

Understanding Breaks

A break, in medical terms, is essentially another term for a fracture. However, the term "break" is often used in everyday language to describe a more severe fracture where the bone is completely separated into two or more pieces. Understanding the nuances between a fracture and a break can help in seeking appropriate medical attention.

Types of Breaks

Breaks can also be classified based on their pattern and severity. Some common types include:

  • Complete Break: The bone is completely separated into two or more pieces.
  • Incomplete Break: The bone is partially broken but not completely separated.
  • Compound Break: The bone breaks and punctures the skin, similar to an open fracture.
  • Simple Break: The bone breaks but does not puncture the skin, similar to a closed fracture.

Causes of Breaks

The causes of breaks are similar to those of fractures and include:

  • Trauma from accidents, falls, or sports injuries.
  • Overuse or repetitive stress, common in athletes.
  • Medical conditions that weaken the bones, such as osteoporosis.

Symptoms of Breaks

The symptoms of a break are similar to those of a fracture and can include:

  • Severe pain, especially when moving the affected area.
  • Swelling and bruising.
  • Deformity or misalignment of the bone.
  • Loss of function or mobility.

Diagnosing Fractures and Breaks

Diagnosing a fracture or a break typically involves a combination of physical examination and imaging tests. The diagnostic process may include:

  • Physical Examination: The doctor will assess the affected area for pain, swelling, and deformity.
  • Imaging Tests: X-rays, CT scans, or MRI scans may be used to visualize the bone and determine the extent of the injury.

Treating Fractures and Breaks

The treatment for fractures and breaks depends on the type and severity of the injury. Common treatment options include:

  • Immobilization: Using casts, splints, or braces to keep the bone in place while it heals.
  • Surgery: In severe cases, surgery may be required to realign the bone and stabilize it with plates, screws, or rods.
  • Medication: Pain relievers and anti-inflammatory drugs may be prescribed to manage pain and reduce swelling.
  • Physical Therapy: Exercises and rehabilitation programs to restore mobility and strength.

📝 Note: Always follow the advice of a healthcare professional for the best course of treatment.

Preventing Fractures and Breaks

Preventing fractures and breaks involves taking steps to maintain bone health and reduce the risk of injury. Some preventive measures include:

  • Maintaining a Balanced Diet: Consuming foods rich in calcium and vitamin D to support bone health.
  • Regular Exercise: Engaging in weight-bearing exercises to strengthen bones and muscles.
  • Avoiding High-Risk Activities: Taking precautions to avoid falls and accidents, especially in older adults.
  • Managing Medical Conditions: Treating conditions that weaken the bones, such as osteoporosis.

Recovery and Rehabilitation

Recovery from a fracture or a break can take time, depending on the severity of the injury and the individual's overall health. The rehabilitation process may include:

  • Pain Management: Using medication and other techniques to manage pain during recovery.
  • Physical Therapy: Engaging in exercises to restore mobility, strength, and flexibility.
  • Gradual Return to Activities: Slowly resuming normal activities as the bone heals.

It is essential to follow the rehabilitation plan prescribed by a healthcare professional to ensure a successful recovery.

📝 Note: Recovery times can vary, so it is important to be patient and follow the advice of your healthcare provider.

Special Considerations for Children and Older Adults

Children and older adults have unique considerations when it comes to fractures and breaks. For children, the bones are still growing, and certain types of fractures, such as greenstick fractures, are more common. Older adults, on the other hand, are at a higher risk of fractures due to conditions like osteoporosis. Special care and treatment plans are often required for these age groups.

Common Myths About Fractures and Breaks

There are several myths surrounding fractures and breaks that can lead to misconceptions and improper treatment. Some common myths include:

  • Myth: A fracture is less severe than a break. Fact: A fracture and a break are essentially the same thing, with a fracture being the medical term for a broken bone.
  • Myth: Only severe trauma can cause a fracture. Fact: Fractures can occur from minor injuries, especially in individuals with weakened bones.
  • Myth: Fractures always require surgery. Fact: Many fractures can be treated non-surgically with immobilization and rehabilitation.

Understanding the facts can help in seeking appropriate medical attention and ensuring proper treatment.

Fractures and breaks are common injuries that can affect anyone, regardless of age or activity level. By understanding the differences, causes, symptoms, and treatment options, you can better navigate these injuries and ensure a successful recovery. Whether you are dealing with a minor fracture or a severe break, seeking medical attention and following a proper treatment plan is crucial for a full recovery.

Related Terms:

  • break vs fracture in bones
  • fracture vs break definition
  • difference between rupture and fracture
  • break and fracture difference
  • fracture vs break
  • fracture vs rupture
Art
🖼 More Images
Jones fracture - oftews
Jones fracture - oftews
2259×1910
What's the Difference Between a Fracture and a Break?
What's the Difference Between a Fracture and a Break?
5600×3153
Simple fracture | pathology | Britannica
Simple fracture | pathology | Britannica
1600×1304
Types Bone Fractures How Bones Break Stock Vector (Royalty Free ...
Types Bone Fractures How Bones Break Stock Vector (Royalty Free ...
1500×1241
Bone Fractures - Symptoms & Causes | Parkway Shenton
Bone Fractures - Symptoms & Causes | Parkway Shenton
2000×1125
Signs Of Bone Fracture In Finger
Signs Of Bone Fracture In Finger
1080×1080
Fractured Leg Bone Symptoms at Scott Harkless blog
Fractured Leg Bone Symptoms at Scott Harkless blog
4963×3548
How to Clean Up Your Broken Symlinks: The Good Way and the Better Way
How to Clean Up Your Broken Symlinks: The Good Way and the Better Way
2100×1400
Managing a Broken Leg: From Injury to Healing
Managing a Broken Leg: From Injury to Healing
1920×1080
Adult Lower Leg Fracture
Adult Lower Leg Fracture
1531×2048
Shoulder Fracture | Rehab My Patient
Shoulder Fracture | Rehab My Patient
1400×1289
Pathological Fracture
Pathological Fracture
1600×1157
Broken femur types, causes, treatment, recovery time & complications
Broken femur types, causes, treatment, recovery time & complications
1500×1845
Skull Fracture Types | Imaging of Skull Base Fractures and ...
Skull Fracture Types | Imaging of Skull Base Fractures and ...
1559×1719
Trauma and Fractures - Orthopaedic Center of the Virginias
Trauma and Fractures - Orthopaedic Center of the Virginias
1875×2237
Broken Left Ankle
Broken Left Ankle
1553×1255
Ankle Fractures Diagnosis and Treatment - Eazy foot
Ankle Fractures Diagnosis and Treatment - Eazy foot
2000×1800
What Is A Common Fracture at Jay Vaughan blog
What Is A Common Fracture at Jay Vaughan blog
4963×3548
Comminuted Fracture: What Is It, Examples, and More | Osmosis
Comminuted Fracture: What Is It, Examples, and More | Osmosis
1920×1728
Broken Bone Versus Fracture: What Is The Difference? – IEYHQ
Broken Bone Versus Fracture: What Is The Difference? – IEYHQ
1806×1198
Types of Fracture | Ortho X-Ray - MedSchool
Types of Fracture | Ortho X-Ray - MedSchool
1200×1200
When Does a Fracture Require Surgery? | BCOS
When Does a Fracture Require Surgery? | BCOS
2560×1609
The Hidden Fractures That Break Team Effectiveness | GCS Network
The Hidden Fractures That Break Team Effectiveness | GCS Network
1536×1024
Finger Fracture | Rehab My Patient
Finger Fracture | Rehab My Patient
1389×1400
Fracture
Fracture
1920×1080
Greenstick Fractures of the mid- Radial and Ulnar Diaphysis with Volar ...
Greenstick Fractures of the mid- Radial and Ulnar Diaphysis with Volar ...
1815×1622
Trauma and Fractures - Orthopaedic Center of the Virginias
Trauma and Fractures - Orthopaedic Center of the Virginias
1875×2237
Minecraft The Broken Script mod: Features, installation guide, and more
Minecraft The Broken Script mod: Features, installation guide, and more
1920×1080
What Should I Do for a Broken Tooth?: K Street Dental & Orthodontic ...
What Should I Do for a Broken Tooth?: K Street Dental & Orthodontic ...
1920×1040
Types of fractures, broken bones | Premium Vector
Types of fractures, broken bones | Premium Vector
2000×2000
When Does a Fracture Require Surgery? | BCOS
When Does a Fracture Require Surgery? | BCOS
2560×1609
Fibula and Tibial Fracture | Rehab My Patient
Fibula and Tibial Fracture | Rehab My Patient
1389×1400
Broken Trust Quotes About Betrayal
Broken Trust Quotes About Betrayal
2560×1440
(A507) Owens Blue & White Broken Stripe Area Rug, 5x7
(A507) Owens Blue & White Broken Stripe Area Rug, 5x7
1600×1600
Types of Fracture | Ortho X-Ray - MedSchool
Types of Fracture | Ortho X-Ray - MedSchool
1200×1200
Rib fracture: Nursing - Osmosis Video Library
Rib fracture: Nursing - Osmosis Video Library
1920×1080
Xray Image Femur Fracture Stock Photo 2495213333 | Shutterstock
Xray Image Femur Fracture Stock Photo 2495213333 | Shutterstock
1500×1259
The Lord Mends a Broken Heart - Coloring.app
The Lord Mends a Broken Heart - Coloring.app
1024×1024
Fracture X Ray Of Bone at Joseph Sabala blog
Fracture X Ray Of Bone at Joseph Sabala blog
1300×1390
Broken Ankle - Fractured Ankle, Broken Foot, Stress Fracture Ankle
Broken Ankle - Fractured Ankle, Broken Foot, Stress Fracture Ankle
1500×1602