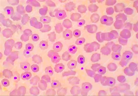
Malaria Parasite Smear
Art

Malaria Parasite Smear

1500 Γ— 1120px July 11, 2025 Ashley
Download

Malaria is a significant global health concern, affecting millions of people annually. One of the most critical diagnostic tools for identifying malaria is the Malaria Blood Smear. This method involves examining a blood sample under a microscope to detect the presence of malaria parasites. Understanding the process, importance, and interpretation of a Malaria Blood Smear is essential for healthcare professionals and anyone interested in public health.

Understanding Malaria Blood Smear

A Malaria Blood Smear is a diagnostic test used to identify the presence of malaria parasites in a patient’s blood. This test is crucial for confirming a malaria diagnosis, determining the severity of the infection, and selecting the appropriate treatment. The process involves several steps, including sample collection, preparation, staining, and microscopic examination.

Steps in Performing a Malaria Blood Smear

The process of performing a Malaria Blood Smear involves several key steps. Each step is essential for ensuring accurate results and reliable diagnosis.

Sample Collection

The first step in performing a Malaria Blood Smear is collecting a blood sample from the patient. This is typically done using a finger prick or venipuncture. The sample should be collected in a sterile environment to prevent contamination. The amount of blood required is usually small, making it a minimally invasive procedure.

Slide Preparation

Once the blood sample is collected, it is spread thinly on a glass slide. This thin smear allows for better visualization of the blood cells and any parasites present. The slide is then allowed to air dry completely. Proper drying is crucial to prevent smearing and ensure clear visualization under the microscope.

Staining

After the slide is dry, it is stained using a specific dye, such as Giemsa stain. Staining helps to highlight the parasites and differentiate them from the blood cells. The stained slide is then examined under a microscope to identify the presence of malaria parasites.

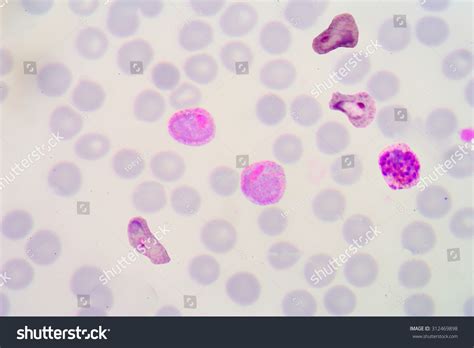
Microscopic Examination

The final step involves examining the stained slide under a microscope. A trained technician or healthcare professional looks for the presence of malaria parasites, which appear as distinct structures within the red blood cells. The type and number of parasites observed can provide valuable information about the stage and severity of the infection.

πŸ“ Note: Proper staining and microscopic examination are critical for accurate diagnosis. Any errors in these steps can lead to false negatives or positives, affecting patient treatment.

Interpreting Malaria Blood Smear Results

Interpreting the results of a Malaria Blood Smear involves identifying the presence and type of malaria parasites. There are several species of malaria parasites, including Plasmodium falciparum, Plasmodium vivax, Plasmodium ovale, and Plasmodium malariae. Each species has distinct characteristics that can be observed under the microscope.

Here is a table that summarizes the key features of different malaria parasites:

Parasite Species Characteristics Severity
Plasmodium falciparum Small, ring-shaped trophozoites; can cause severe malaria High
Plasmodium vivax Larger, ameboid trophozoites; can cause relapsing malaria Moderate
Plasmodium ovale Similar to P. vivax but with oval-shaped trophozoites Moderate
Plasmodium malariae Small, band-shaped trophozoites; can cause chronic malaria Low to Moderate

Identifying the specific parasite species is essential for determining the appropriate treatment and managing the infection effectively. For example, Plasmodium falciparum is known to cause severe malaria and requires immediate and aggressive treatment. In contrast, Plasmodium vivax and Plasmodium ovale can cause relapsing malaria, which may require additional medication to prevent recurrence.

Importance of Malaria Blood Smear in Diagnosis

The Malaria Blood Smear is a vital tool in the diagnosis and management of malaria. Its importance lies in several key areas:

  • Accurate Diagnosis: The Malaria Blood Smear provides a definitive diagnosis of malaria by identifying the presence of parasites in the blood. This is crucial for differentiating malaria from other febrile illnesses.
  • Severity Assessment: The test helps in assessing the severity of the infection by determining the parasite load and the type of parasite present. This information is essential for selecting the appropriate treatment and monitoring the patient's response to therapy.
  • Treatment Selection: Different malaria species require different treatment regimens. Accurate identification of the parasite species ensures that the patient receives the most effective treatment.
  • Public Health Surveillance: The Malaria Blood Smear is also important for public health surveillance. By tracking the prevalence and distribution of malaria parasites, health authorities can implement effective control measures and monitor the impact of interventions.

Challenges and Limitations of Malaria Blood Smear

While the Malaria Blood Smear is a valuable diagnostic tool, it also has several challenges and limitations. Understanding these limitations is essential for interpreting the results accurately and ensuring effective patient management.

  • Expertise Required: Interpreting a Malaria Blood Smear requires specialized training and experience. Inadequate training can lead to misdiagnosis or missed diagnoses, affecting patient outcomes.
  • Time-Consuming: The process of preparing and examining a Malaria Blood Smear can be time-consuming, especially in resource-limited settings. This delay can affect the timely initiation of treatment.
  • False Negatives: The sensitivity of the Malaria Blood Smear can be low, especially in cases of low parasite density. This can result in false negatives, leading to delayed or missed diagnoses.
  • Variability in Staining: The quality of staining can vary, affecting the visibility of parasites. Poor staining can lead to inaccurate results and misdiagnosis.

πŸ“ Note: To mitigate these challenges, healthcare professionals should undergo regular training and use standardized protocols for sample collection, preparation, and staining. Additionally, rapid diagnostic tests (RDTs) can be used as an adjunct to the Malaria Blood Smear to improve diagnostic accuracy.

Advancements in Malaria Diagnosis

Recent advancements in diagnostic technology have led to the development of new tools and methods for detecting malaria. These advancements aim to improve the accuracy, speed, and accessibility of malaria diagnosis, particularly in resource-limited settings.

One such advancement is the use of rapid diagnostic tests (RDTs). RDTs are point-of-care tests that detect malaria antigens in the blood. They are quick, easy to use, and do not require specialized training or equipment. However, RDTs have limitations, such as lower sensitivity compared to the Malaria Blood Smear, and may not differentiate between different malaria species.

Another promising technology is molecular diagnostics, which use polymerase chain reaction (PCR) to detect malaria DNA in the blood. PCR is highly sensitive and specific, making it an excellent tool for confirming malaria diagnosis and monitoring treatment response. However, PCR is more expensive and requires specialized equipment and training, limiting its use in resource-limited settings.

Imaging techniques, such as fluorescence microscopy and digital microscopy, are also being explored for malaria diagnosis. These techniques can enhance the visualization of parasites and improve diagnostic accuracy. However, they require specialized equipment and training, which may not be available in all settings.

Role of Malaria Blood Smear in Public Health

The Malaria Blood Smear plays a crucial role in public health by providing accurate and reliable diagnosis of malaria. This information is essential for implementing effective control measures, monitoring the impact of interventions, and improving patient outcomes. Public health authorities use data from Malaria Blood Smears to track the prevalence and distribution of malaria parasites, identify high-risk areas, and allocate resources for prevention and control.

In addition, the Malaria Blood Smear is used in surveillance programs to monitor the effectiveness of malaria control strategies. By regularly testing blood samples from the population, health authorities can detect changes in parasite prevalence and resistance patterns. This information is crucial for adapting control measures and ensuring the sustainability of malaria control efforts.

Community engagement and education are also important components of public health efforts to control malaria. Educating the public about the importance of early diagnosis and treatment, as well as the role of the Malaria Blood Smear, can improve compliance with diagnostic and treatment protocols. Community-based programs can also help in identifying and treating malaria cases, reducing the burden of the disease in high-risk areas.

πŸ“ Note: Effective public health strategies for malaria control require a multidisciplinary approach, involving healthcare providers, public health authorities, and the community. Collaboration and coordination among these stakeholders are essential for achieving sustainable malaria control.

Future Directions in Malaria Diagnosis

The future of malaria diagnosis lies in the development of more accurate, rapid, and accessible diagnostic tools. Advances in technology and research are paving the way for new diagnostic methods that can improve the detection and management of malaria. Some of the key areas of focus include:

  • Point-of-Care Diagnostics: Developing point-of-care diagnostic tools that can be used in resource-limited settings. These tools should be easy to use, require minimal training, and provide rapid results.
  • Molecular Diagnostics: Expanding the use of molecular diagnostics, such as PCR, to improve the sensitivity and specificity of malaria diagnosis. This can help in detecting low-density infections and monitoring treatment response.
  • Artificial Intelligence: Using artificial intelligence (AI) and machine learning to enhance the interpretation of Malaria Blood Smears. AI algorithms can analyze images of blood smears and identify parasites with high accuracy, reducing the need for specialized training.
  • Integrated Diagnostic Platforms: Developing integrated diagnostic platforms that can detect multiple infectious diseases, including malaria. These platforms can improve the efficiency and cost-effectiveness of diagnostic services in resource-limited settings.

In addition to technological advancements, future efforts should focus on strengthening healthcare systems and improving access to diagnostic services. This includes training healthcare providers, ensuring the availability of diagnostic tools and reagents, and implementing quality assurance programs to ensure the accuracy and reliability of diagnostic results.

Collaboration and partnerships among researchers, healthcare providers, public health authorities, and the community are essential for driving innovation and improving malaria diagnosis. By working together, stakeholders can develop and implement effective strategies to control and eliminate malaria, ultimately improving the health and well-being of affected populations.

πŸ“ Note: The future of malaria diagnosis is promising, with advancements in technology and research paving the way for more accurate, rapid, and accessible diagnostic tools. However, sustained efforts and collaboration are needed to translate these advancements into practical solutions that can improve malaria diagnosis and control.

In conclusion, the Malaria Blood Smear is a critical tool in the diagnosis and management of malaria. Its ability to provide accurate and reliable results makes it an essential component of malaria control efforts. Understanding the process, importance, and interpretation of the Malaria Blood Smear is crucial for healthcare professionals and public health authorities. By leveraging advancements in diagnostic technology and strengthening healthcare systems, we can improve the detection and management of malaria, ultimately reducing the burden of this disease on affected populations. The future of malaria diagnosis holds great promise, with ongoing research and innovation driving the development of new tools and methods that can enhance the accuracy, speed, and accessibility of malaria diagnosis. Through collaboration and sustained efforts, we can achieve the goal of controlling and eliminating malaria, improving the health and well-being of millions of people around the world.

Related Terms:

  • malaria parasites blood smear
  • malaria blood test
  • how malaria is diagnosed
  • malaria blood smear characteristics
  • how to diagnosis malaria
  • how do you diagnose malaria
Art
πŸ–Ό More Images
Free picture: blood smear, micrograph, clump, platelets, resembled ...
Free picture: blood smear, micrograph, clump, platelets, resembled ...
3630Γ—2434
Plasmodium Blood Smear at Michael Nipper blog
Plasmodium Blood Smear at Michael Nipper blog
2710Γ—1792
Malaria Parasite Smear
Malaria Parasite Smear
1500Γ—1120
Blood Smear of a Patient with Malaria Plasmodium Falciparum Stock Photo ...
Blood Smear of a Patient with Malaria Plasmodium Falciparum Stock Photo ...
1600Γ—1290
Free picture: photomicrograph, blood smear, presence, young, growing ...
Free picture: photomicrograph, blood smear, presence, young, growing ...
4536Γ—3006
Malaria Blood Smear Pictures: foto stock (editar agora) 312469898
Malaria Blood Smear Pictures: foto stock (editar agora) 312469898
1500Γ—1104
SOLUTION: Diagnosis of malaria in the peripheral blood smear 2 - Studypool
SOLUTION: Diagnosis of malaria in the peripheral blood smear 2 - Studypool
1620Γ—1215
Free picture: micrograph, blood smear, microgametocyte, parasite ...
Free picture: micrograph, blood smear, microgametocyte, parasite ...
2716Γ—1812
Free picture: blood smear, micrograph, presence, numerous, falciparum ...
Free picture: blood smear, micrograph, presence, numerous, falciparum ...
1536Γ—1024
Free picture: blood smear, contains, immature, mature, trophozoites ...
Free picture: blood smear, contains, immature, mature, trophozoites ...
2714Γ—1808
Plasmodium Blood Smear at Michael Nipper blog
Plasmodium Blood Smear at Michael Nipper blog
4407Γ—2958
Plasmodium Blood Smear at Michael Nipper blog
Plasmodium Blood Smear at Michael Nipper blog
2958Γ—1956
Free picture: photomicrograph, blood smear, revealing, erythrocyte ...
Free picture: photomicrograph, blood smear, revealing, erythrocyte ...
2716Γ—1809
Plasmodium Blood Smear at Michael Nipper blog
Plasmodium Blood Smear at Michael Nipper blog
4548Γ—3000
Free picture: blood smear, shows, plasmodium falciparum, parasite, ring ...
Free picture: blood smear, shows, plasmodium falciparum, parasite, ring ...
2716Γ—1809
Malaria parasite pv plasmodium vivex blood smear microscopic 100x image ...
Malaria parasite pv plasmodium vivex blood smear microscopic 100x image ...
2000Γ—1388
SOLUTION: Diagnosis of malaria in the peripheral blood smear 2 - Studypool
SOLUTION: Diagnosis of malaria in the peripheral blood smear 2 - Studypool
1620Γ—1215
Plasmodium Blood Smear at Michael Nipper blog
Plasmodium Blood Smear at Michael Nipper blog
4326Γ—2916
Blood Smear of a Patient with Malaria. Plasmodium Falciparum Stock ...
Blood Smear of a Patient with Malaria. Plasmodium Falciparum Stock ...
1600Γ—1290
Malaria parasite pv plasmodium vivex blood smear microscopic 100x image ...
Malaria parasite pv plasmodium vivex blood smear microscopic 100x image ...
2000Γ—1388
Malaria Blood Smear Pictures: foto stock (editar agora) 312469898
Malaria Blood Smear Pictures: foto stock (editar agora) 312469898
1500Γ—1104
Plasmodium Blood Smear at Michael Nipper blog
Plasmodium Blood Smear at Michael Nipper blog
2726Γ—1776
Malaria Blood Smear Pictures Stock Photo 312469895 | Shutterstock
Malaria Blood Smear Pictures Stock Photo 312469895 | Shutterstock
1500Γ—1104
Malaria Blood Smear Pictures Stock Photo 312469895 | Shutterstock
Malaria Blood Smear Pictures Stock Photo 312469895 | Shutterstock
1500Γ—1104
Free picture: photomicrograph, blood smear, revealing, erythrocyte ...
Free picture: photomicrograph, blood smear, revealing, erythrocyte ...
2716Γ—1809
SOLUTION: comparison of malaria blood stage in thick and thin blood ...
SOLUTION: comparison of malaria blood stage in thick and thin blood ...
1620Γ—2096
Differential Diagnosis Of Malaria Parasites at Leo Rey blog
Differential Diagnosis Of Malaria Parasites at Leo Rey blog
3037Γ—1859
Plasmodium Blood Smear at Michael Nipper blog
Plasmodium Blood Smear at Michael Nipper blog
2958Γ—1956
Human Blood Smear Showing Plasmodium Vivax Stock Photo (Edit Now) 491714728
Human Blood Smear Showing Plasmodium Vivax Stock Photo (Edit Now) 491714728
1500Γ—1101
Free picture: photomicrograph, blood smear, microgametocyte, parasite ...
Free picture: photomicrograph, blood smear, microgametocyte, parasite ...
2716Γ—1800
Plasmodium Blood Smear at Michael Nipper blog
Plasmodium Blood Smear at Michael Nipper blog
1696Γ—1508
Plasmodium Blood Smear at Michael Nipper blog
Plasmodium Blood Smear at Michael Nipper blog
1500Γ—1225
Red Blood Cell Stages of Pl [IMAGE] | EurekAlert! Science News Releases
Red Blood Cell Stages of Pl [IMAGE] | EurekAlert! Science News Releases
1440Γ—1175
Malaria Blood Smear Pictures Stock Photo - Image of detail, disease ...
Malaria Blood Smear Pictures Stock Photo - Image of detail, disease ...
1600Γ—1161
Plasmodium Blood Smear at Michael Nipper blog
Plasmodium Blood Smear at Michael Nipper blog
2710Γ—1792
Plasmodium Blood Smear at Michael Nipper blog
Plasmodium Blood Smear at Michael Nipper blog
2726Γ—1776
Plasmodium Blood Smear at Michael Nipper blog
Plasmodium Blood Smear at Michael Nipper blog
1500Γ—1225
Malaria parasite stock photo. Image of cells, analyzing - 99829516
Malaria parasite stock photo. Image of cells, analyzing - 99829516
1600Γ—1290
Plasmodium Blood Smear at Michael Nipper blog
Plasmodium Blood Smear at Michael Nipper blog
2721Γ—1808
Free picture: monkey, blood smear, falciparum, parasites, 24hrs ...
Free picture: monkey, blood smear, falciparum, parasites, 24hrs ...
1536Γ—1033