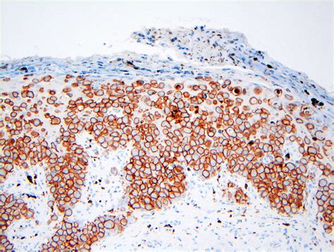
Breast – Paget's Disease – NUS Pathweb :: NUS Pathweb
Art

Breast – Paget's Disease – NUS Pathweb :: NUS Pathweb

2005 × 1121px February 5, 2026 Ashley
Download

Understanding the significance of Paget's nipple pictures is crucial for early detection and treatment of breast cancer. Paget's disease of the breast, often referred to as Paget's disease of the nipple, is a rare type of cancer that affects the nipple and the areola, the dark area surrounding the nipple. This condition is named after Sir James Paget, the British surgeon who first described it in 1874. Recognizing the symptoms and understanding the diagnostic process can greatly improve outcomes for those affected.

What is Paget's Disease of the Breast?

Paget's disease of the breast is a rare form of cancer that originates in the ducts beneath the nipple and areola. It is characterized by the presence of abnormal cells, known as Paget cells, which spread to the skin of the nipple and areola. These cells can cause changes in the appearance and texture of the nipple, making it essential to recognize the signs early.

Symptoms of Paget's Disease of the Breast

One of the most distinctive features of Paget's disease is the changes it causes to the nipple and areola. Common symptoms include:

  • Eczema-like rash on the nipple and areola, which may be itchy or painful.
  • Scaling or flaking of the skin in the affected area.
  • Redness and swelling of the nipple and areola.
  • Discharge from the nipple, which may be bloody or serous.
  • Changes in the shape or texture of the nipple, such as flattening or inversion.

These symptoms can be easily mistaken for other benign conditions, such as eczema or dermatitis. However, it is crucial to seek medical attention if these symptoms persist, as early diagnosis can significantly improve treatment outcomes.

Diagnosing Paget's Disease of the Breast

Diagnosing Paget's disease involves a combination of clinical examination, imaging tests, and biopsy. The diagnostic process typically includes the following steps:

  • Clinical Examination: A healthcare provider will perform a physical examination of the breast, focusing on the nipple and areola. They will look for any visible changes or abnormalities.
  • Imaging Tests: Mammography, ultrasound, and magnetic resonance imaging (MRI) may be used to visualize the breast tissue and detect any underlying tumors. These tests can help determine the extent of the disease and plan the appropriate treatment.
  • Biopsy: A biopsy involves taking a small sample of tissue from the affected area for laboratory analysis. This is the definitive way to confirm the presence of Paget cells and diagnose Paget's disease.

In some cases, additional tests such as a sentinel lymph node biopsy may be performed to check if the cancer has spread to the lymph nodes.

Understanding Paget's Nipple Pictures

Visual aids, such as Paget's nipple pictures, play a crucial role in educating both healthcare providers and patients about the condition. These images can help in recognizing the early signs and symptoms of Paget's disease, facilitating timely diagnosis and treatment. Here are some key points to consider when examining Paget's nipple pictures:

  • Appearance: Look for changes in the color, texture, and shape of the nipple and areola. Common signs include redness, scaling, and crusting.
  • Symmetry: Compare the affected nipple with the unaffected one to identify any asymmetries or abnormalities.
  • Discharge: Note any discharge from the nipple, which may be clear, bloody, or serous.

It is important to remember that Paget's nipple pictures are for educational purposes only and should not be used for self-diagnosis. If you notice any concerning changes in your nipple or areola, consult a healthcare provider for a proper evaluation.

Treatment Options for Paget's Disease of the Breast

The treatment of Paget's disease of the breast depends on the stage of the cancer and the presence of any underlying tumors. Common treatment options include:

  • Surgery: Surgical removal of the affected nipple and areola, along with any underlying tumors, is often the primary treatment. This may involve a mastectomy (removal of the entire breast) or a lumpectomy (removal of the tumor and a small margin of surrounding tissue).
  • Radiation Therapy: Radiation therapy may be used to destroy any remaining cancer cells after surgery. It can also be used as a primary treatment for patients who are not candidates for surgery.
  • Chemotherapy: Chemotherapy may be recommended for patients with advanced or metastatic disease. It involves the use of drugs to kill cancer cells throughout the body.
  • Hormone Therapy: For patients with hormone receptor-positive cancer, hormone therapy may be used to block the effects of hormones that fuel cancer growth.

Treatment plans are individualized based on the patient's specific needs and the stage of the disease. A multidisciplinary team of healthcare providers, including surgeons, oncologists, and radiologists, will work together to develop the most effective treatment strategy.

Prognosis and Follow-Up Care

The prognosis for Paget's disease of the breast varies depending on the stage of the cancer and the presence of any underlying tumors. Early detection and treatment generally result in better outcomes. Regular follow-up care is essential to monitor for recurrence and manage any side effects of treatment.

Follow-up care may include:

  • Regular Clinical Examinations: Periodic check-ups with a healthcare provider to monitor for any signs of recurrence.
  • Imaging Tests: Mammography, ultrasound, or MRI to detect any new or recurring tumors.
  • Blood Tests: To monitor for any changes in hormone levels or other markers of cancer.

Patients should also be aware of any changes in their breasts and report them to their healthcare provider promptly.

Prevention and Early Detection

While there is no sure way to prevent Paget's disease of the breast, early detection is key to improving outcomes. Regular breast self-exams, clinical breast exams, and mammograms can help detect changes in the breast tissue early. Women should be familiar with the normal appearance and feel of their breasts and report any changes to their healthcare provider.

Risk factors for Paget's disease include:

  • Age: The risk increases with age, with most cases occurring in women over 50.
  • Gender: Paget's disease is more common in women, but it can also occur in men.
  • Family History: A family history of breast cancer increases the risk.
  • Hormonal Factors: Early menstruation, late menopause, and never having been pregnant can increase the risk.

Understanding these risk factors and maintaining regular breast health screenings can help in the early detection and treatment of Paget's disease.

📌 Note: This information is for educational purposes only and should not be used as a substitute for professional medical advice. Always consult a healthcare provider for any health concerns.

Paget’s disease of the breast is a rare but serious condition that requires prompt diagnosis and treatment. Recognizing the symptoms, understanding the diagnostic process, and being aware of Paget’s nipple pictures can help in early detection and improve outcomes. Regular follow-up care and maintaining breast health are essential for managing this condition effectively. By staying informed and proactive, individuals can take control of their health and seek the necessary care to address Paget’s disease.

Related Terms:

  • nipple rash nhs
  • paget's disease breast image
  • picture of paget's disease
  • paget's disease of nipple cks
  • paget's disease of the breast
  • paget disease of the nipple
Art
🖼 More Images
Paget Disease Of The Nipple Radiology at Xavier Guerard blog
Paget Disease Of The Nipple Radiology at Xavier Guerard blog
2108×1562
Paget's disease | PPTX
Paget's disease | PPTX
2048×1152
Paget's Disease of the Breast Treatment: Surgery & BCT Options
Paget's Disease of the Breast Treatment: Surgery & BCT Options
1024×1024
Paget's Disease Of The Nipple And Inflammatory Breast Cancer at Daryl ...
Paget's Disease Of The Nipple And Inflammatory Breast Cancer at Daryl ...
1200×1191
Imaging in Paget disease of breast - Indian Journal of Breast Imaging
Imaging in Paget disease of breast - Indian Journal of Breast Imaging
1024×1029
Paget's Disease Nipple Child at Troy Jenkins blog
Paget's Disease Nipple Child at Troy Jenkins blog
1920×1080
Paget’s Disease of Breast (PDB) | PPTX
Paget’s Disease of Breast (PDB) | PPTX
2048×1536
breast cancer ppt.pptx
breast cancer ppt.pptx
2048×1152
Paget's Disease Of The Nipple And Inflammatory Breast Cancer at Daryl ...
Paget's Disease Of The Nipple And Inflammatory Breast Cancer at Daryl ...
2580×1935
Paget's disease | PPTX
Paget's disease | PPTX
2048×1152
Paget's Disease of Breast (PDB) | PPTX
Paget's Disease of Breast (PDB) | PPTX
2048×1536
Paget Disease of the Breast: Mammographic, US, and MR Imaging Findings ...
Paget Disease of the Breast: Mammographic, US, and MR Imaging Findings ...
1103×1280
Breast - Paget's Disease - NUS Pathweb :: NUS Pathweb
Breast - Paget's Disease - NUS Pathweb :: NUS Pathweb
2005×1121
Figure 4 from [Paget's disease of the nipple and differential diagnosis ...
Figure 4 from [Paget's disease of the nipple and differential diagnosis ...
1374×1150
Paget's disease | PPTX
Paget's disease | PPTX
2048×1152
A Pictorial Exploration of Mammary Paget Disease: Insights and Perspectives
A Pictorial Exploration of Mammary Paget Disease: Insights and Perspectives
2266×1712
Paget's Disease Nipple Pathology Outlines at Tami Smith blog
Paget's Disease Nipple Pathology Outlines at Tami Smith blog
2580×1944
Paget's disease | PPTX
Paget's disease | PPTX
2048×1152
Paget's Disease Nipple Pathology Outlines at Tami Smith blog
Paget's Disease Nipple Pathology Outlines at Tami Smith blog
2580×1944
What Is Paget Disease Of Breast at Melvin Murillo blog
What Is Paget Disease Of Breast at Melvin Murillo blog
1330×1280
Paget's Disease Breast Her2 at Jennifer Johansen blog
Paget's Disease Breast Her2 at Jennifer Johansen blog
3354×2536
breast cancer ppt.pptx
breast cancer ppt.pptx
2048×1152
Imaging in Paget disease of breast - Indian Journal of Breast Imaging
Imaging in Paget disease of breast - Indian Journal of Breast Imaging
1534×1362
Paget's Disease of Breast (PDB) | PPTX
Paget's Disease of Breast (PDB) | PPTX
2048×1536
What Is Paget Disease Of Breast at Melvin Murillo blog
What Is Paget Disease Of Breast at Melvin Murillo blog
1330×1280
Paget Disease of the Breast: Mammographic, US, and MR Imaging Findings ...
Paget Disease of the Breast: Mammographic, US, and MR Imaging Findings ...
1103×1280
Paget's Disease Nipple Child at Troy Jenkins blog
Paget's Disease Nipple Child at Troy Jenkins blog
1920×1080
Paget's Disease Breast Stages at Christian Tudawali blog
Paget's Disease Breast Stages at Christian Tudawali blog
2580×1944
Paget's Disease of the Breast | PDF
Paget's Disease of the Breast | PDF
2048×2650
Paget's Disease of the Breast: Symptoms, Causes, Diagnosis, Treatment ...
Paget's Disease of the Breast: Symptoms, Causes, Diagnosis, Treatment ...
1080×1080
Paget's Disease Of The Nipple And Inflammatory Breast Cancer at Daryl ...
Paget's Disease Of The Nipple And Inflammatory Breast Cancer at Daryl ...
1200×1191
Breast – Paget's Disease – NUS Pathweb :: NUS Pathweb
Breast – Paget's Disease – NUS Pathweb :: NUS Pathweb
2005×1121
Paget's Disease of the Breast | PDF
Paget's Disease of the Breast | PDF
2048×2650
Paget disease of the breast: An often-overlooked malignancy - Cherie M ...
Paget disease of the breast: An often-overlooked malignancy - Cherie M ...
3624×2168
Paget's Disease Nipple Pathology Outlines at Tami Smith blog
Paget's Disease Nipple Pathology Outlines at Tami Smith blog
2580×1944
Paget's Disease Breast Pathology Outlines at Rae Johnson blog
Paget's Disease Breast Pathology Outlines at Rae Johnson blog
2211×1659
Paget Disease Of The Nipple Radiology at Xavier Guerard blog
Paget Disease Of The Nipple Radiology at Xavier Guerard blog
2108×1562
Paget's Disease of the Nipple and IDC | Survivor Story
Paget's Disease of the Nipple and IDC | Survivor Story
1024×1024
A Pictorial Exploration of Mammary Paget Disease: Insights and Perspectives
A Pictorial Exploration of Mammary Paget Disease: Insights and Perspectives
2273×1594
Carcinoma Nipple Skin Called Pagets Disease Stock Photo 1768859684 ...
Carcinoma Nipple Skin Called Pagets Disease Stock Photo 1768859684 ...
1500×1101