12mm Nodule Lung
Art

12mm Nodule Lung

3305 × 2663px February 19, 2025 Ashley
Download

Lung nodules are small, round growths that appear in the lungs and can be detected through various imaging techniques, such as X-rays, CT scans, and MRI scans. These nodules can vary in size and composition, and while many are benign, some can be indicative of serious conditions, including lung cancer. Understanding pictures of lung nodules and their implications is crucial for early detection and effective treatment. This post will delve into the types of lung nodules, their causes, diagnostic methods, and the importance of early intervention.

Understanding Lung Nodules

Lung nodules are typically discovered incidentally during imaging tests performed for other reasons. They can be classified based on their size, shape, and composition. The most common types include:

  • Solid Nodules: These are dense and appear white on imaging scans.
  • Ground-Glass Nodules: These have a hazy appearance and are less dense than solid nodules.
  • Part-Solid Nodules: These contain both solid and ground-glass components.
  • Cavitary Nodules: These have a central area of low density, resembling a cavity.

Lung nodules can be caused by various factors, including infections, inflammation, and tumors. Some common causes include:

  • Infections: Bacterial, viral, or fungal infections can lead to the formation of lung nodules.
  • Inflammation: Conditions like sarcoidosis and rheumatoid arthritis can cause inflammatory nodules.
  • Tumors: Both benign and malignant tumors can present as lung nodules.
  • Scarring: Previous lung injuries or surgeries can result in scar tissue that appears as nodules.

Diagnostic Methods for Lung Nodules

Diagnosing lung nodules involves a combination of imaging techniques and, in some cases, biopsy procedures. The choice of diagnostic method depends on the size, location, and characteristics of the nodule. Common diagnostic methods include:

  • Chest X-ray: This is often the first step in detecting lung nodules, but it has limitations in terms of detail and sensitivity.
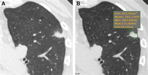
  • CT Scan: Computed tomography (CT) scans provide more detailed images and are crucial for evaluating the size, shape, and density of lung nodules.
  • PET Scan: Positron emission tomography (PET) scans use a radioactive tracer to detect metabolic activity, helping to differentiate between benign and malignant nodules.
  • MRI Scan: Magnetic resonance imaging (MRI) can provide additional information, especially for nodules that are difficult to visualize with CT scans.
  • Bronchoscopy: This procedure involves inserting a thin tube with a camera into the lungs to visualize and biopsy nodules.
  • CT-Guided Biopsy: This minimally invasive procedure uses CT imaging to guide a needle into the nodule for tissue sampling.

When evaluating pictures of lung nodules, radiologists look for specific characteristics that can indicate the nature of the nodule. These characteristics include:

  • Size: Larger nodules are more likely to be malignant.
  • Shape: Irregular or spiculated edges are often associated with cancer.
  • Density: Solid nodules are more concerning than ground-glass nodules.
  • Growth Rate: Rapidly growing nodules are more likely to be malignant.

Interpreting Pictures of Lung Nodules

Interpreting pictures of lung nodules requires expertise in radiology and an understanding of the various imaging techniques. Radiologists use specific criteria to assess the likelihood of malignancy. The Fleischner Society guidelines provide a framework for managing incidental pulmonary nodules detected on CT scans. These guidelines consider the size of the nodule and the presence of risk factors for lung cancer.

For example, a solid nodule less than 6 mm in diameter with no risk factors for lung cancer may require only follow-up imaging after 12 months. In contrast, a solid nodule greater than 8 mm in diameter with risk factors may warrant more immediate intervention, such as a biopsy or surgical resection.

Here is a simplified table outlining the Fleischner Society guidelines for managing incidental pulmonary nodules:

Nodule Size (mm) Risk Factors Recommended Follow-Up
<6 None Follow-up CT scan at 12 months
6-8 None Follow-up CT scan at 6-12 months
>8 None Follow-up CT scan at 3 months, then 9 months, then 24 months
>8 Present Immediate evaluation, possible biopsy or surgical resection

📌 Note: These guidelines are general and may vary based on individual patient factors and clinical judgment.

Importance of Early Detection

Early detection of lung nodules is crucial for improving outcomes, especially in cases of lung cancer. Lung cancer is one of the leading causes of cancer-related deaths worldwide, and early intervention can significantly increase the chances of successful treatment. Regular screening, particularly for individuals at high risk, can help detect lung nodules at an early stage when they are more treatable.

High-risk individuals include those with a history of smoking, exposure to asbestos or other carcinogens, and a family history of lung cancer. For these individuals, low-dose CT scans are recommended as a screening tool. These scans can detect small nodules that may not be visible on standard chest X-rays, allowing for earlier intervention.

Early detection also reduces the need for more invasive procedures. For example, a small nodule detected early may only require periodic monitoring, whereas a larger nodule detected later may necessitate a biopsy or surgical resection. Early intervention can also improve the quality of life for patients by reducing the extent of treatment required and minimizing complications.

Treatment Options for Lung Nodules

The treatment of lung nodules depends on their size, composition, and likelihood of malignancy. Treatment options range from watchful waiting to surgical resection. Common treatment approaches include:

  • Watchful Waiting: For small, benign-appearing nodules, regular follow-up imaging may be sufficient to monitor for any changes.
  • Biopsy: A biopsy involves removing a small sample of the nodule for pathological examination to determine if it is malignant.
  • Surgical Resection: For malignant nodules, surgical removal of the affected lung tissue may be necessary. This can involve a lobectomy (removal of a lobe of the lung) or a wedge resection (removal of a small portion of the lung).
  • Radiation Therapy: For inoperable nodules or those that cannot be completely resected, radiation therapy may be used to shrink the nodule and prevent its growth.
  • Chemotherapy: In cases of metastatic lung cancer, chemotherapy may be used to treat the cancer systemically.

In some cases, a multidisciplinary approach involving pulmonologists, radiologists, and thoracic surgeons may be necessary to determine the best course of treatment. This collaborative approach ensures that all aspects of the patient's condition are considered, leading to more effective and personalized care.

When evaluating pictures of lung nodules, it is essential to consider the patient's overall health and risk factors. For example, a patient with a history of smoking and a nodule with irregular edges may require more aggressive intervention compared to a non-smoker with a small, round nodule.

Regular follow-up and monitoring are crucial for managing lung nodules, especially those that are initially deemed benign. Changes in the size, shape, or density of a nodule over time can indicate a need for further evaluation or intervention. Patients should work closely with their healthcare providers to develop a personalized monitoring plan that includes regular imaging and clinical assessments.

In addition to medical interventions, lifestyle modifications can play a significant role in managing lung nodules and reducing the risk of complications. For example, quitting smoking, maintaining a healthy diet, and engaging in regular physical activity can improve overall lung health and reduce the risk of cancer.

Education and awareness about lung nodules and their implications are also important. Patients should be informed about the signs and symptoms of lung cancer, such as persistent cough, shortness of breath, and unexplained weight loss. Early recognition of these symptoms can lead to timely medical evaluation and intervention.

Support groups and counseling services can provide emotional support and practical advice for patients and their families. Dealing with a lung nodule, especially one that is potentially malignant, can be stressful and overwhelming. Access to support resources can help patients cope with the emotional and psychological aspects of their condition.

In summary, understanding pictures of lung nodules and their implications is essential for early detection and effective treatment. Lung nodules can be caused by various factors, and their diagnosis involves a combination of imaging techniques and biopsy procedures. Early detection through regular screening and monitoring can improve outcomes and reduce the need for invasive procedures. Treatment options range from watchful waiting to surgical resection, depending on the size, composition, and likelihood of malignancy of the nodule. Regular follow-up, lifestyle modifications, and access to support resources are crucial for managing lung nodules and improving overall lung health.

Related Terms:

  • lung nodule size
  • lung nodule cancer pictures
  • nodules on chest ct scan
  • average size of lung nodules
  • lung nodule size chart images
  • pulmonary nodules in lungs
Art
🖼 More Images
Calcified Lung Nodules: A Diagnostic Challenge in Clinical Daily Practice
Calcified Lung Nodules: A Diagnostic Challenge in Clinical Daily Practice
3116×1641
Differentiating Lung Nodules Due to Coccidioides from Those Due to Lung ...
Differentiating Lung Nodules Due to Coccidioides from Those Due to Lung ...
2055×1946
Bilateral pulmonary nodules in a patient with extensive autoimmune ...
Bilateral pulmonary nodules in a patient with extensive autoimmune ...
1280×1280
Fine needle aspiration of lung nodule : r/medlabprofessionals
Fine needle aspiration of lung nodule : r/medlabprofessionals
1170×2532
Differentiating Lung Nodules Due to Coccidioides from Those Due to Lung ...
Differentiating Lung Nodules Due to Coccidioides from Those Due to Lung ...
2055×1946
Understanding Noncalcified Pulmonary Nodules in Detail
Understanding Noncalcified Pulmonary Nodules in Detail
1024×1024
Calcified Lung Nodules: A Diagnostic Challenge in Clinical Daily Practice
Calcified Lung Nodules: A Diagnostic Challenge in Clinical Daily Practice
4028×1475
What Is A Chest Nodule at Alan Moore blog
What Is A Chest Nodule at Alan Moore blog
1800×1164
Conemaugh Memorial Medical Center Unveils New Lung Nodule Clinic in ...
Conemaugh Memorial Medical Center Unveils New Lung Nodule Clinic in ...
1920×1080
Incidental pulmonary nodules: Characterization and management ...
Incidental pulmonary nodules: Characterization and management ...
2501×1844
CT scan of Chest or lung for screening lung nodules and lung cancer ...
CT scan of Chest or lung for screening lung nodules and lung cancer ...
1300×1191
Multiple lung nodules – the Radiologist
Multiple lung nodules – the Radiologist
1536×1193
Lung Nodule: Types, Causes, Symptoms, and Treatment (2025)
Lung Nodule: Types, Causes, Symptoms, and Treatment (2025)
1200×1200
CT Characteristics of Lung Nodules Present at Diagnosis of ...
CT Characteristics of Lung Nodules Present at Diagnosis of ...
1800×1704
Lerchik Diagnosed with Lung Cancer and Metastases: A Shocking Update ...
Lerchik Diagnosed with Lung Cancer and Metastases: A Shocking Update ...
1880×1253
When to Worry About Lung Nodules: A Comprehensive Guide
When to Worry About Lung Nodules: A Comprehensive Guide
1440×1440
When to Worry About Lung Nodules: A Comprehensive Guide
When to Worry About Lung Nodules: A Comprehensive Guide
1440×1440
Severe COVID-19 and flu can facilitate lung cancer months or years later
Severe COVID-19 and flu can facilitate lung cancer months or years later
1280×1280
Lung Nodules - Dr. Adam Stewart
Lung Nodules - Dr. Adam Stewart
1024×1536
CT scan of Chest or lung for screening lung nodules and lung cancer ...
CT scan of Chest or lung for screening lung nodules and lung cancer ...
1300×1191
Lung Nodules Localization and Report Analysis from Computerized ...
Lung Nodules Localization and Report Analysis from Computerized ...
4053×1599
What are Lung Nodules? - Prof. Dr. Adalet Demir
What are Lung Nodules? - Prof. Dr. Adalet Demir
2560×1920
Multiple lung nodules - the Radiologist
Multiple lung nodules - the Radiologist
1536×1193
Imaging of Solid Pulmonary Nodules - Clinics in Chest Medicine
Imaging of Solid Pulmonary Nodules - Clinics in Chest Medicine
2334×1190
CT scan of Chest or lung for screening lung nodules and lung cancer ...
CT scan of Chest or lung for screening lung nodules and lung cancer ...
1300×1191
Nodules And Masses | Pulmonary Nodule X Ray - XNCUC
Nodules And Masses | Pulmonary Nodule X Ray - XNCUC
2000×1647
What Is A Lung Nodule On Ct Scan at Norman Nelson blog
What Is A Lung Nodule On Ct Scan at Norman Nelson blog
1300×1191
When to Worry About Lung Nodules: A Comprehensive Guide
When to Worry About Lung Nodules: A Comprehensive Guide
1024×1024
When to Worry About Lung Nodules: A Comprehensive Guide
When to Worry About Lung Nodules: A Comprehensive Guide
1024×1024
Spiculated Lung Nodule Radiology at Joseph Cornwall blog
Spiculated Lung Nodule Radiology at Joseph Cornwall blog
1183×1198
Lung Nodules - Dr. Adam Stewart
Lung Nodules - Dr. Adam Stewart
1024×1536
What Is A Lung Nodule Made Of at Andrew Freeman blog
What Is A Lung Nodule Made Of at Andrew Freeman blog
1296×1369
Incidental pulmonary nodules: Characterization and management ...
Incidental pulmonary nodules: Characterization and management ...
2500×1207
Lung Nodule: Causes, Symptoms, and Treatment
Lung Nodule: Causes, Symptoms, and Treatment
6000×4000
When To Worry About Lung Nodules | Expert Guide
When To Worry About Lung Nodules | Expert Guide
1620×1080
What Is A Lung Nodule On Ct Scan at Norman Nelson blog
What Is A Lung Nodule On Ct Scan at Norman Nelson blog
1300×1191
When To Worry About Lung Nodules | Expert Guide
When To Worry About Lung Nodules | Expert Guide
1620×1080
12mm Nodule Lung
12mm Nodule Lung
3305×2663
Lung Nodule: Causes, Symptoms, and Treatment
Lung Nodule: Causes, Symptoms, and Treatment
2121×1414
What Diseases Cause Lung Nodules at Arthur Hanley blog
What Diseases Cause Lung Nodules at Arthur Hanley blog
1800×1277